打开应用

膀胱弥漫大B细胞淋巴瘤侵及回肠1例

王医师   南宁广济高峰医院
B细胞淋巴瘤 弥漫大B细胞淋巴瘤 淋巴瘤

主诉 病史

病例男,61岁。因“间断尿痛8月,全程无痛性肉眼血尿3日”入院。8月前无明显诱因出现尿痛,曾予抗感染治疗,症状缓解,随后反复,伴下腹部坠痛。3日前出现反复全程肉眼血尿,深红色伴血块,伴尿频、尿急、尿痛症状,无腰酸腰痛,就诊于外院,予以抗炎止血对症治疗后,症状反复,遂来我院就诊。患者自发病以来饮食、睡眠可,无其他自觉症状,大便无异常,体质量下降5kg。

查体 辅查

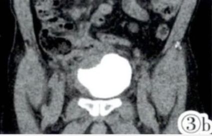
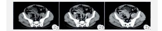
查体:生命体征平稳,有盗汗,无发热,全身浅表淋巴结无肿大、无融合、无压痛,腹软,左右下腹部压痛阳性,无反跳痛、肌紧张,双肾区、双输尿管走行区、膀胱区均无压痛,且未触及包块,外生殖器无异常。骨髓穿刺:①骨髓增生较活跃,粒红巨三系造血细胞增生,未见特殊异常细胞,未见淋巴瘤。②缺铁性贫血。③流式细胞检测:B淋巴细胞影像学检查:①腹部+泌尿系彩超示:膀胱充盈良好,右侧壁见多个低回声区,大小50mm×30mm不等,内回声不均,界限欠清,基底部与膀胱壁分界不清,可见血运。超声诊断:膀胱右侧壁多发实性占位;②PET/CT检查结果回报:膀胱及部分回肠不均匀增厚伴软组织肿块形成,呈FDG不均匀高代谢,横膈下方多发肿大淋巴结,呈FDG高代谢,结合病史符合淋巴瘤征象;③全腹CT及泌尿系CTU示:膀胱平扫可见右后壁、底部多处不均匀增厚,最厚约1.96 cm,黏膜下多发团块状突向腔内的等高密度影,基底部较宽,边界尚清,最大病灶4.87 cm×1.96 cm,CT值约40HU。增强扫描可见病灶呈渐进性强化,动脉期、静脉期、延迟期CT值分别约55HU、70HU、77HU(图1a~1d)。邻近回肠壁受侵,肠壁不均匀增厚,厚度约1.35 cm,平扫CT值约38HU,增强扫描可见轻度强化,CT值约为60HU,肠腔略窄,周围脂肪间隙模糊、密度增高,与膀胱分界不清(图2a~2c)。CTU重建示受累回肠与膀胱紧密相连,膀胱右侧壁、膀胱底受压变形(图3a,3b);盆腔、腹膜后、腹部肠系膜根部、回盲部多发增大淋巴结,大者径约2.27 cm(图4)。CT诊断:膀胱多发占位,考虑恶性肿瘤侵及邻近回肠,伴腹腔及腹膜后多发淋巴结转移。

图1a~1d 平扫示膀胱右侧壁多发宽基底等密度团块状影,边界尚清,CT值40HU,增强扫描病灶呈渐进性强化,动脉期、静脉期、延迟期CT值55HU、70HU、77HU。

图2a~2c 回肠壁不均匀增厚,厚约1.35 cm,平扫CT值约38HU,增强扫描可见轻度强化,CT值约为60HU,周围脂肪间隙模糊、密度增高,受累回肠与膀胱病变分界不清。

图3a,3b CTU重组示受累回肠与膀胱紧密相连,膀胱右侧壁、膀胱底受压变形。

图4 膀胱右前方见增大的淋巴结,最大者径约2.27 cm。

④胸部MSCT平扫、胸部正位片DR、心电图、心脏彩超检查未见明显异常。

诊断 处理

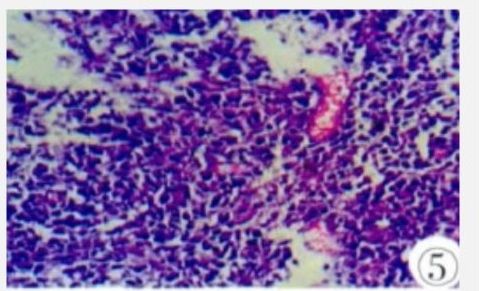
手术及病理所见:在全麻下行膀胱镜检,膀胱镜示:膀胱右侧壁黏膜面不光滑,可见双侧输尿管开口正常并喷尿。行经尿道离子束刀膀胱肿瘤切除术。术后病理回报:巨检:灰白相间灰黄色碎组织,大小共2mm×2mm×3mm;镜下:大量大小较一致的异型细胞,排列密集,细胞核圆形或卵圆形、泡状,核仁明显,2~4个靠近核膜,胞质较少,嗜双色或嗜碱性,可见核分裂,并见多灶性不规则坏死灶(图5)。

图5 镜下(HE):大量大小较一致的异型细胞,排列密集,胞质较少,嗜双色或嗜碱性,可见核分裂。图6免疫组化CD20(+)。免疫组化结果回报:CK(-)、CK20(-)、CK7(-)、P63(-)、LCA(+)、Bcl-6(+)、Bcl-2(+>50%)、CD10(-)、CD20(+)(图6)、CD21(+)、CD23(-)、CD3(-)、CD5(+)、CyclinD1(-)、EBER(-)、MUM-1(+)、c-myc(+>40%)、ki-67(+>80%)。病理诊断:膀胱肿物活检示弥漫大B细胞淋巴瘤(生发中心外活化B细胞来源)。结合病史、病理、免疫组化及相关辅助检查,临床诊断为弥漫大B细胞淋巴瘤(生发中心外活化B细胞来源)Ⅳ期B组,IPI评分3分。术后转入血液科予以R-CHOP方案联合化疗(美罗华600mgd1、环磷酰胺1200mg、吡柔比星40mgd1-2、长春新碱2mgd1、醋酸泼尼松100mgd1-5)。截止目前(2017年5月),患者已接受4个周期化疗,一般状态较好,生命体征较为平稳,症状缓解。

发布于 19-02-07 15:50

0 个评论

暂无评论
发送