打开应用

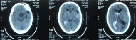
额顶叶脑梗死

朱医师   中国人民解放军第四军医大学西京医院
脑梗死

主诉 病史

患者,女,72岁,言语不清伴左侧肢体麻木1d。1d前,无明显诱因出现言语不清伴左侧肢体麻木,反应变慢。既往有高血压病史,最高可达到160/90 mmHg, 未规律服药。

查体 辅查

查体:血压130/90 mmHg,神清。实验室检查:血、尿、便常规及肝肾功能等均正常。 头颅MR DWI可见右侧额顶叶高信号病灶。头颅CTA示右侧大脑中动脉管腔闭塞。

诊断 处理

诊断:额顶叶脑梗死。 治疗:予阿司匹林抗血小板、阿托伐他汀调脂,以及依达拉奉清除氧自由基,以及维生素B1 和维生素B12 治疗。复方曲肽注射液改善患者凝血功能和微循环障碍,促进患者恢复。治疗3d后,患者言语不清及左侧肢体麻木症状明显缓解。

发布于 19-03-22 13:55

0 个评论

暂无评论
发送