打开应用

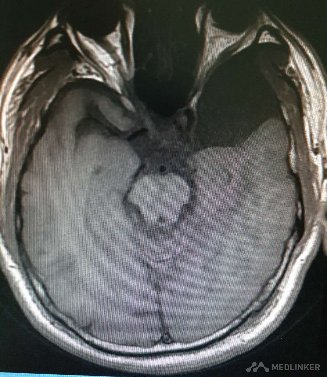
慢性创伤性硬膜下血肿

韩医师   武汉仁和医院
慢性硬膜下血肿

主诉 病史

主诉:头部外伤后1月余,右侧肢体无力1周 查体;神志清楚,查体问答合作,双侧瞳孔等大等圆,直径约3mm,对光反射灵敏,双侧鼻唇沟对称,伸舌居中,四肢肌力正常,生理反射存在,病理反射未引出 既往史:一般健康状况:良好          药物过敏史否认          传染病史:否认肝炎结核病病史 预防接种史:按计划          手术外伤史:否认          输血史:否认        疾病史:无 个人史:出生地—         迁徙史:无 冶游史:无         嗜烟嗜酒:无         职业及工作环境:无烟尘、无毒物及放射性物质接触史         婚姻史:结婚年龄:适龄岁 配偶健康状况:良好 其他:无 家族史:父亲:健康    母亲:健康               子女:健康 兄弟姐妹:健康               家族遗传病史:否认               家族中传染病史:无

查体 辅查

生命体征: 体温:36.7    脉搏:70次/分    呼吸:18次/分     血压:126/70mmHg 一般情况: 发育 正常             营养 中等                     面容 平静 皮肤黏膜淋巴结 无黄染,未触及浅表淋巴结 五官;见专科查体 心脏:心前区未触及震颤,心界正常,各瓣膜听诊区未闻及病理性杂音 肺部:双侧呼吸运动一致,无胸膜摩擦感,叩诊清音,无干湿啰音 腹部:全腹半软,无膨隆,无压痛,无移动性浊音 脊柱:生理弯曲,各棘突无叩痛、压痛, 四肢:见专科查体 性征发育:未查 其他:无异常 神经系统查体 合作情况:合作 神志:清晰 步态及姿势:正常 精神智能:记忆力准确,注意力准确 语言:正常 植物神经系统:汗腺分泌:正常   皮肤划痕:正常 血管检查:颈动脉杂音:无    颈静脉怒张:无   足背动脉:搏动正常

诊断 处理

初步诊断:慢性创伤性硬膜下血肿  蛛网膜囊肿 确定诊断:慢性创伤性硬膜下血肿  蛛网膜囊肿 入院以来,完善各方面检查,予以甘露醇脱水治疗,营养神经,抗感染,止血及补充电解质等对症支持治疗。

发布于 18-09-20 18:43

0 个评论

暂无评论
发送