打开应用

绝经后出血

方医师   黄山市徽州区妇幼保健计划生育服务中心
阴道出血

主诉 病史

1.患者,女,62岁 2.主诉:绝经8年,少量阴道流血9天 3.现病史:1-0-1-1,初潮18岁,月经规则,5/30,经量中等,痛经(+),绝经8年。患者于9日前无明显诱因下出现阴道流血,伴下腹隐痛、腰酸,量似月经,持续3天,出血量减少,目前呈白带带血丝,伴轻度异味。至外院就诊,妇科B超:子宫肌层回声尚均匀,内膜厚9mm,回声不均匀,双侧卵巢未显示,盆腔内未见明显异常血流信号,提示子宫内膜增厚不均,建议分段诊刮。现为求进一步治疗,就诊我院拟“绝经后阴道流血”收治入院。 追问病史,患者于5年前出现少量阴道流血,持续二天,就诊外院,建议诊刮,患者拒绝未予治疗,近期未服用雌激素类药物。 自发病以来,患者精神可,一般情况可,睡眠可,胃纳可,二便基本正常。

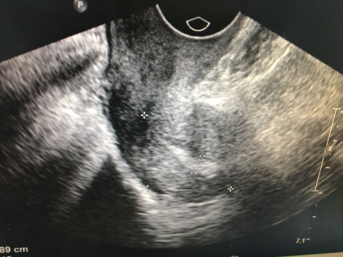
查体 辅查

妇科检查:外阴:未见异常;阴道:畅,少量白色分泌物;宫颈:肥大,光滑;宫体:前位,如正常大小,无压痛,活动度好,双附件:未触及异常。        辅助检查:【妇科B超】现子宫肌层回声尚均匀,内膜厚9 mm,回声不均匀,双侧卵巢未显示,盆腔内未见明显异常血流信号,提示子宫内膜增厚不均。 行手术治疗。

诊断 处理

诊断:  1、绝经后出血;2、子宫内膜增厚(性质待定) 诊疗方案:患者入院后完善各项检查,今全麻下行腹腔镜下宫腔镜子宫内膜活检+宫腔赘生物摘除+宫腔镜下刮宫 。切除赘生物3枚,分别取出送病理。宫腔镜下沿宫腔四壁搔刮,无明显组织刮出。手术顺利。术后给予抗炎治疗,观察阴道出血少,生命体征平稳,准予出院。

随访 讨论

讨论:绝绝后阴道出血有良性也有恶性。①较为常见的良性疾病有老年性阴道炎、子宫内膜炎、宫颈息肉、子宫内膜息肉、子宫卒中综合征、绝经后宫内节育器久置不取等;②较为常见的恶性疾病有子宫内膜癌、子宫颈癌、卵巢癌、输卵管癌等,其中,子宫内膜癌占整个绝经后出血的80%左右。

发布于 17-12-22 23:02

6 个评论

发送