打开应用

绝经后出血

王医师   上海市虹口区江湾医院
子宫恶性肿瘤

主诉 病史

1、 患者,73岁女性 2、 主诉:绝经12年,反复阴道流血10月余   3、 现病史:1-0-1-1,15岁初潮,平素月经规律,5/28天,量中,痛经(-),已绝经12年。10月前无明显诱因患者开始出现阴道反复流血,量少,淋漓不尽,患者未在意,后阴道流血量逐渐较前增多,为暗红色血块。患者就诊外院,建议患者就诊于我院,妇科B超提示:内膜双侧厚:16,回声不均匀,内引出血流信号,与周围肌层分界不清。诊断意见:子宫内膜增厚,回声不均匀,Ca待查,请结合临床。患者无腹痛腹泻,无发热头痛,无头晕恶心,无尿急症状,无白带增多,无外阴瘙痒,绝经后有口服鱼油、卵磷脂等保健品,未给予激素替代治疗。现患者为进一步治疗,门诊拟“绝经后阴道出血”收入我院。  患者自发病以来,神清,精神可,胃纳可,夜眠一般,大便可,夜尿3次/晚,近期体重无明显增减。

查体 辅查

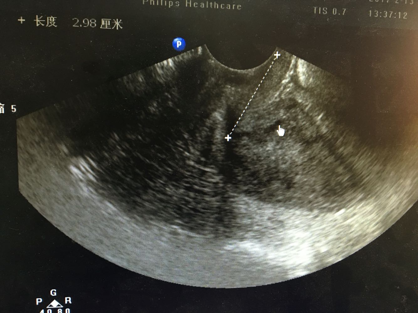
妇科检查:  妇科检查: 外阴(-);阴道畅,少量血性分泌物;宫颈轻糜,无活动性出血;宫体中位,常大,质中,无压痛;附件未及异常,无压痛。 辅助检查:我院 【ECG】ST段改变。    【妇科B超】内膜双侧厚:16,回声不均匀,内引出血流信号,与周围肌层分界不清。诊断意见:子宫内膜增厚,回声不均匀,Ca待查,请结合临床。

诊断 处理

诊断:绝经后出血 诊疗方案:患者入院后完善各项检查排除手术禁忌症,行B超下分段诊刮术,刮勺搔刮宫颈管极少量组织刮出,并涂片送检脱落细胞。 探宫腔深6.5cm,刮勺搔刮宫腔四周2圈,感宫壁滑腻,刮出少量鱼肉样组织,送病理, 同时涂片送检脱落细胞 ,手术顺利。

随访 讨论

讨论:绝经以后再发生阴道出血称绝经后出血,常见以下一些原因: 1、生殖器官恶性肿瘤  最常见的是子宫内膜癌,约占恶性病变的80%,其他的有宫颈癌、   卵巢癌、输卵管癌、外阴及阴道肿瘤等。2、生殖器官良性病变  如子宫肌瘤、子宫内膜息肉、宫颈息肉等,还有一些炎症性病变如子宫内膜炎、老年性阴道炎等。 3、服用药物或保健品  如有的老年妇女服用了雌激素、孕激素类药物,或含有此类激素的保健品后引起出血。

发布于 17-07-12 21:57

52 个评论

发送