打开应用

宫颈恶性肿瘤

方医师   黄山市徽州区妇幼保健计划生育服务中心
宫颈癌

主诉 病史

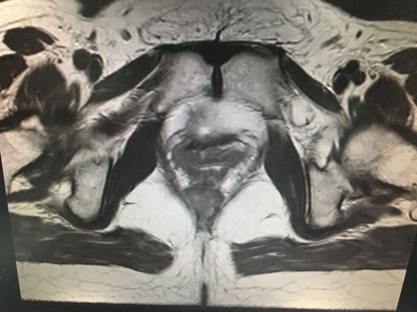
1.患者,女性,39岁 2.宫颈接触性出血2周余  3.现病史:患者2周前无明显诱因出现同房后阴道出血,量少,平时阴道排液增多,白色,稀如米汤样,有腥臭味,无腹痛、无排尿及排便异常,无月经紊乱,至外院就诊行妇科检查示外阴(-),阴道通畅,宫体后位饱满;宫旁:软。妇科B超示:宫颈多发囊肿,盆底积液。HPV17高危型,宫颈TCT示不能排除高度鳞状细胞病变的非典型鳞状细胞癌(ASC-H),建议活检,行宫颈活检病理示非角化型鳞状细胞癌,部分处浸润生长。胸部CT平扫未见明显异常。现患者为行进一步诊治,门诊拟宫颈癌收治入院。          患者自发病来,神清,精神可,一般情况可,胃纳可,夜眠可,二便无殊,体重无明显减轻。

查体 辅查

体检:神清,精神可,皮肤巩膜无黄染,轻度贫血貌,浅表巴结未及肿大,颈软,气管居中,双肺呼吸音清,未闻及干湿罗音,律齐,无杂音,腹平软,无压痛反跳痛,未触及明显肿块,肝肾叩击痛(-),移浊(-),NS(-)。        妇科检查:外阴:已婚已产式,阴道:畅,粘膜光,穹窿四周软,宫颈:增大约4cm,表面糜烂增生状,可见异型血管,触血(+)附件:未及明显异常,三合诊:双侧宫旁未及增厚。 5.辅助检查:【宫颈TCT】示不能排除高度鳞状细胞病变的非典型鳞状细胞癌(ASC-H)  【宫颈活检病理】示非角化型鳞状细胞癌,部分处浸润生长

诊断 处理

诊断:宫颈恶性肿瘤(鳞癌,Ib1期) 诊疗方案:患者入院积极完善评估,行腹腔镜下广泛全子宫+双侧附件切除+双侧卵巢动静脉高位结扎+盆腔淋巴结清扫+腹主动脉淋巴结清扫+盆腔粘连分解术,术中见子宫增大如孕40+天,质中,表面光滑,活动尚好。现患者一般情况可。

随访 讨论

讨论:宫颈癌的筛查:筛查是指在癌症出现明显症状前通过某些方法去发现它,通过筛查可以发现早期的癌症、甚至癌前病变。宫颈癌的筛查包括宫颈细胞学检查及人类乳头状瘤病毒(HPV)检测,前者常用的方法有传统的巴氏涂片(即人们常说的宫颈涂片)和液基薄层细胞学检查(TCT)等。

发布于 17-12-11 08:39

12 个评论

发送