打开应用

冷球蛋白血症性血管炎累及肠道

张医师   亳州市谯城区十八里镇卫生院
冷球蛋白血症 冷球蛋白血症性肾小球肾炎

主诉 病史

男,48岁,因复发性腹痛和便血,为求进一步治疗和评估入院。

查体 辅查

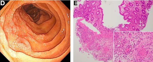
15年前患者使用干扰素α治疗丙型肝炎病毒(HCV)基因型1;后治疗失败。5年前患肾功能不全,由膜性增生性肾小球肾炎引起。后一直使用强的松和环孢素治疗。 入院前6个月,因腿部紫癜和腹痛在另一家医院治疗。此后,使用达卡他韦和阿那匹韦治疗HCV感染。但转入本院前出现腹部疼痛加重和便血。 体格检查,左上腹疼痛,压痛,下肢水肿,紫癜(图A),没有关节炎或周围神经病变的迹象。 胃镜检查显示不规则溃疡伴十二指肠的第二部分周围黏膜红斑(图B)。 结肠镜检查显示回肠末端散在糜烂在和结肠多个瘢痕性溃疡(图C)。 胶囊内镜和气囊辅助内镜检查显示十二指肠和小肠内的多个活跃性和瘢痕性溃疡。 该实验室的数据显示贫血(血红蛋白,9.1g/dL),轻度炎症反应(白细胞计数,10270/μL;C反应蛋白,0.55mg/dL)和肾功能不全(肌酐水平,1.75mg/dL)。免疫学试验显示低补体水平(C3,41mg/dL;C4,2mg/dL)和血清冷球蛋白阳性。患者抗核或抗中性粒细胞胞浆抗体阴性。 患者出现皮肤紫癜,从十二指肠到直结肠多处活跃和瘢痕溃疡,和冷球蛋白血症。我们使用冷却过滤法治疗患者,针对HCV感染使用直接抗病毒剂。治疗6个月后,补体水平仍然很低(C3,62mg/dL;C4,2 mg/dL),血清冷球蛋白呈弱阳性,胃镜证实十二指肠瘢痕溃疡(图D)。随后的检查还发现结肠直肠多个瘢痕溃疡,直肠活检检查发现血管炎与纤维素样坏死(图E)。

诊断 处理

这些结果满足混合冷球蛋白血症血管炎的标准[1];因此,我们的诊断为患者的冷球蛋白血症性血管炎病变累及肠道。 血清冷球蛋白可发生在25%-30%的HCV感染患者中。据推测10%-15%的冷球蛋白血症患者发生血管炎。[2]冷球蛋白血症性血管炎主要累及小血管累及皮肤、关节、周围神经系统和肾脏。胃肠道受累是罕见的。

随访 讨论

据报道,胃肠道血管炎预后不良,可能是由于诊断延迟或发病年龄。[3]改善预后的是抗病毒治疗,而不是免疫抑制治疗。[2]治疗1年后,病人仍然无腹部症状。因此,冷却过滤法和抗病毒治疗可联合用于治疗胃肠道受累患者的冷球蛋白血症性血管炎。

发布于 17-02-21 13:56

8 个评论

发送