打开应用

会阴内异症

王医师   中国医科大学附属盛京医院
子宫内膜异位症

主诉 病史

以“发现会阴肿物1年,经期疼痛逐渐加重半年”为主诉入院。1年前于会阴侧切口处发现大小约2cm质硬肿物,肿物于月经期疼痛,疼痛逐渐加重,近半年加重明显,并出现痛经,可忍受,疼痛延长至经期后4-5天,偶需口服止痛药,月经期延长至7-10天,月经量无明显变化,就诊于我院肠镜检查提示直肠混合包块,子宫内膜异位症?

查体 辅查

外阴发育正常,阴道口5点钟位置会阴侧切口处皮下可及一质硬结节,大小约4*3cm,界不清,触痛阳性,阴道畅,粘膜无充血,分泌物量中,色白,无异味。宫颈肥大,表面尚光滑。子宫常大,活动度可,无压痛。双侧附件区未触及明显异常。三合诊:触痛结节累及肛门括约肌,直肠粘膜表面尚完整,光滑。 肠镜:内镜所见:进镜至肛管上缘可见一处平缓隆起,表面粘膜略充血。超声所见:肠镜内可见一处混合回声包块,大小约2.0*2.5cm,边界不清,内部回声不均,可见无回声区。提示:直肠混合包块,子宫内膜异位症?

诊断 处理

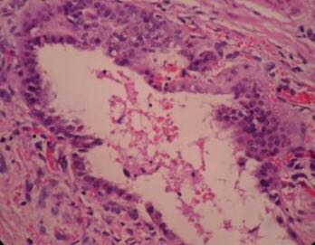
诊断:会阴肿物(子宫内膜异位症?) 治疗:阴式会阴子宫内膜异位症病灶切除术。术中见会阴体左侧(相当于外阴4点-5点处),可及约3X3厘米大小质韧肿物,界限不清,肿物已经侵入肛提肌及肛门括约肌。术中剖检所切除肿物见其中紫蓝色出血病灶,边缘一圈正常组织,证实肿物切除完全,冰冻病理回为子宫内膜异位症。

随访 讨论

会阴内异症是发生在盆腹腔以外的一种内异症,其临床特点与盆腔内子宫内异症相差甚远,发生率低,潜伏期长。会阴瘢痕内异症是较少见的一种,其发生可能是蜕膜化的子宫内膜细胞种植在开放的会阴切口上,支持种植学说会阴内异症的早期诊断和治疗很重要,在病灶进行性侵犯肛门括约肌及其周围组织之前发现可使治疗充分彻底。会阴内异症的治疗方法有多种,手术治疗同时辅助药物治疗是首选方法。手术切净以至少切除病灶外0. 5 ~ 1 cm 的组织为标准。肛门括约肌的受累密切关系到治疗与预后。侵犯肛门括约肌的会阴内异症复发率高,且多由于不完全切除导致。如能于术前准确评估肛门括约肌的受累程度,估计手术难度,做好充分术前准备,有望提高病灶的完整切除率,减少术后复发。

发布于 16-12-16 21:04

16 个评论

发送