下载或打开 医联APP 查看完整评论
立即下载
打开APP
打开应用
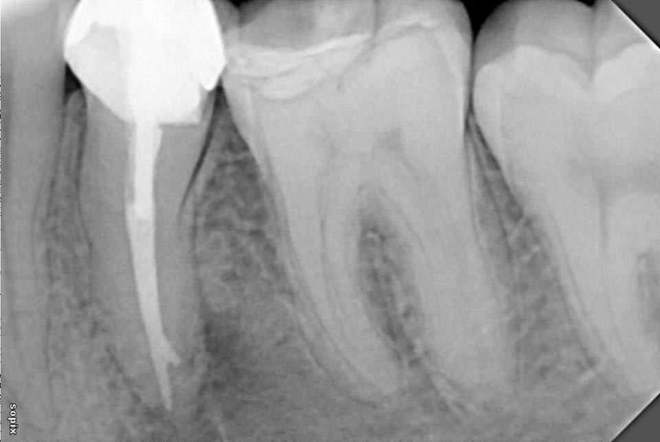
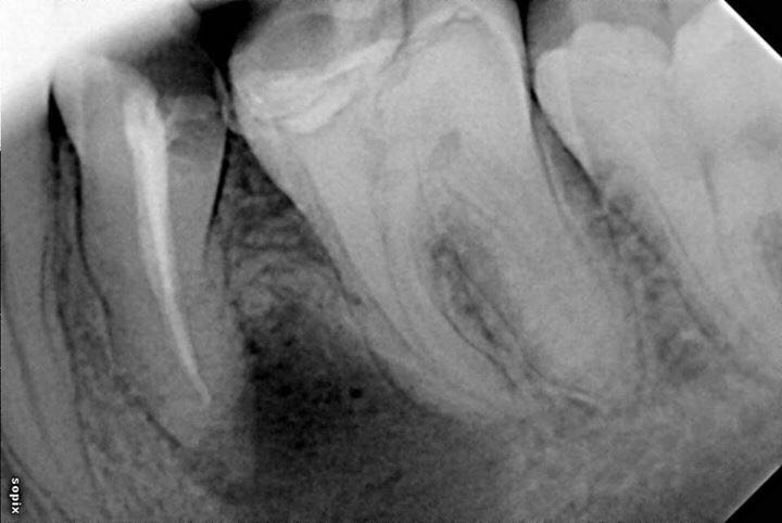
左下第二前磨牙根管再治疗
刘医师
济宁医学院附属医院
主诉 病史
转自FB.根管再治疗,5个月随访,病变愈合良好。
发布于 16-11-04 19:25
医联推荐你看
左下第二前磨牙根管治疗后根折一例
左下第二磨牙根管治疗一例
左下第二磨牙根管治疗一例
共
6
个评论
查看更多评论
发送
0