打开应用

成功治疗高脂血症性胰腺炎

孙医师   中国医科大学附属盛京医院
腹胀 胰腺炎 高脂血症

主诉 病史

主诉: 突发腹痛30余小时。 病史:患者30余小时前突发腹部疼痛,初为左腹持续性疼痛,就诊于沈阳市8院,行CT检查结果考虑为"胰腺炎"并予以抗炎,补液,抑酸,抑酶,解痉等治疗,患者未见明显好转,约12小时后腹痛加重为全腹 持续行疼痛,伴发热,最高时月37.6°C。今晨患者就诊于我院急诊,行全腹增强CT检查,结果提示考虑”急性胰腺炎“。我科以”急性胰腺炎“为诊断收入病房进一步治疗。患者病来未进食水,小便正常,无大便,近期体重未见明显减轻。既往7年前因急性胰腺炎行剖腹探查,胰腺被膜松解,腹腔清创引流术。

查体 辅查

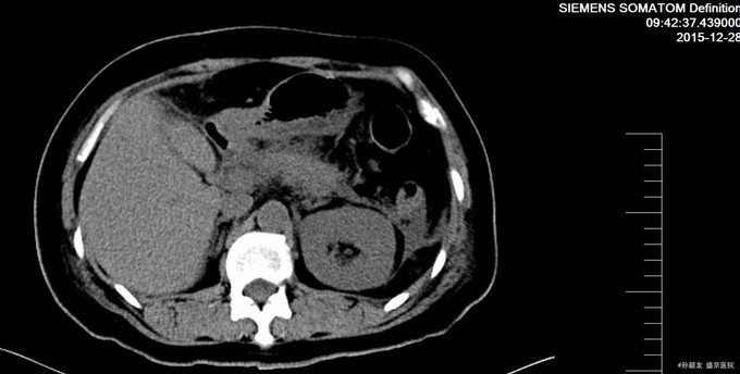
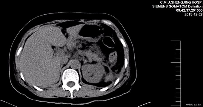
查体: 双侧乳腺缺如。腹平坦,未见胃肠型及蠕动波,腹壁无静脉曲张,左腹部可见经腹直肌切口瘢痕约20cm,以及两点状瘢痕。肝脾肋下未触及,未触及包块,全腹轻压痛,反跳痛,腹直肌紧张。Murphy’s征阴性,肝肾区无叩痛,移动性浊音阴性,肠鸣音4次/分。 辅查: 胰腺CT提示胰腺稍肿胀,轮廓模糊,胰周见模糊渗出及积液,胰腺前方腹腔内渗出。左侧肾前筋膜及邻近腹膜增厚,左侧结肠旁沟内见积液。 肝脏密度仍减低;胆囊内胆汁密度增高。扫描范围左侧胸腔积液。 腹部BUS 提示腹腔积液。 血淀粉酶和脂肪酶明显升高,血甘油三酯和胆固醇升高。

诊断 处理

诊断: 高脂血症性胰腺炎 治疗:入院后胃肠减压,禁食水,中心静脉穿刺补液,抑制胰酶,降血脂治疗,由于腹腔有积液,彩超引导下穿刺,引出略带暗红色积液,化验积液淀粉酶,并不高,说明胰腺炎并不严重。至治疗1周左右,停用抑酶药物,复查血脂,TG降至2.62 mmol/L,引流液逐渐减少,治疗10日复查腹部彩超,几乎无积液,拔除引流管,病人腹胀痛症状明显好转,拔除胃管,清淡饮食,治疗12日顺利出院。嘱继续口服降脂药物,低脂饮食。

随访 讨论

高脂血症性胰腺炎的发病与甘油三酯(TG)值密切相关,与胆固醇无关,又叫高甘油三酯胰腺炎,一般TG大于11.3mmol/L, 或者TG虽然5.65-11.3 mmol/L,但血呈乳糜状,排除引起胰腺炎其他原因。本病例诊断为高脂血症性胰腺炎,就是因为其血呈乳糜状,无饮酒,无胆石症,如果严格按照TG值判定,尚未达标。高脂血症性胰腺炎的发病机制不明,可能与高浓度TG被脂肪酶水解,产生过多游离脂肪酸,超出白蛋白结合能力,产生毒性作用,破坏胰腺。治疗上除了常规胰腺炎治疗,如抗炎,补液,抑酶外,还包括降血脂,血浆置换等,把TG降至5.65 mmol/L以下,可以防止胰腺炎进一步发展。本病例入院后立即给予阿托伐他汀钙片降血脂治疗。有研究认为早期一到两次血浆置换治疗高脂血症性胰腺炎安全有效,由于本病例TG并不是很高,未予血浆置换。

发布于 16-01-06 12:25

12 个评论

发送