主诉:左眼睑下垂1年,加重半年。病史:患者1年前无明显诱因出现左眼睑下垂,抬起困难,伴视物重影,无言语不能、吞咽困难,无发热、头痛、恶心、呕吐、头晕、视物旋转、肢体麻木、饮水呛咳、视物模糊、肢体不自主运动、肢体抽搐、意识障碍、大小便失禁,休息后缓解,未予重视,半年来上述症状反复加重,10余天前至当地医院就诊,查新斯的明试验阳性,遂至我院神经内科就诊,胸部CT示:1、右肺尖钙化结节;2、胸腺增生。为了进一步治疗门诊拟“重症肌无力”收住我科。患者自起病以来,无发热、咳嗽、尿频、尿急、腹泻,无心悸、胸闷等,精神、食欲、睡眠好,体重无明显变化。

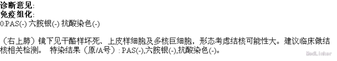
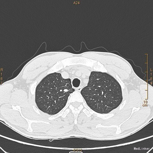
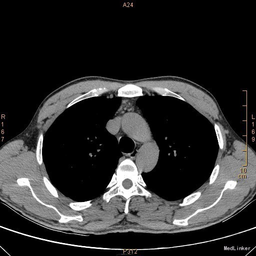
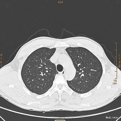
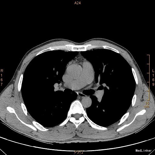
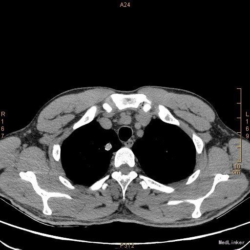
查体:左侧眼睑下垂,右侧眼裂宽10mm,左侧眼裂宽5mm。肺部查体未见异常。 辅查:新斯的明试验阳性。胸部CT示1、右肺尖钙化结节;2、胸腺增生。
该患者诊断“1.重症肌无力,眼肌型;2.右上肺钙化结节”明确,重症肌无力合并胸腺增生或胸腺瘤,有手术指征,我们为患者行胸腔镜下胸腺扩大切除术+右肺上叶楔形切除术。术后病理示:右上肺结节呈干酪样坏死,考虑结核。胸腺及纵隔脂肪均见淋巴增生。术后效果明显,患者左侧眼睑下垂较前好转,右侧眼裂宽10mm,左侧眼裂宽8mm,视物重影症状消失。



发表该病例的目的是有以下3个问题想跟大家一起探讨学习:1.右上肺钙化结节,多考虑良性结节,那么我们从右侧进胸行胸腺扩大切除时,是否需要同时将右上肺结节切除;2.右上肺结节明确是结核,既然是钙化结节,多是陈旧性的,这种情况下术后需抗结核治疗吗?3.该患者术后是抗乙酰胆碱药物治疗还是激素治疗,如果是激素治疗,同时服用抗结核药,抗结核可诱导肝微粒体酶,导致激素作用减弱,两者该如何协调?请有这方面经验的同行来为我们解惑,感谢。