主诉:腹痛伴少量黑便3天。 病史:35岁男性患者,急性病程。3天前餐后出现右上腹疼痛不适,隐隐作痛,阵发性加重,伴恶心,呕吐胆汁及胃内容物,无呕血及便血,当时未予处理,后出现少量黑便,前来就诊。入院后1天,患者出现无明显诱因排鲜红色血便,甚至血性腹泻,血便体积约为1 L,患者心率升至150次/分,血压为68/40 mmHg,出现低容量休克,并曾2次无法测出血压。经积极有效的抗休克治疗后,患者被转至重症监护病房。患者既往有17年慢性乙型肝炎病史。3年前患者曾出现类似症状,休息后症状消失。
查体:入院时T 37.5°C,BP 106/79mmHg。急性面容,表情痛苦,查体欠配合。双肺呼吸音稍粗,腹肌稍紧张,右上腹压痛明显,无反跳痛,Murphy征(-),肠鸣音3-5次/分。入院1天后生命体征不平稳,呈低血容量性休克症状,结膜苍白,神志昏迷。 辅查:血红蛋白为73 g/L。肝功能为Child-Pugh A级。肛门镜检查示齿状线以上多发内痔。磁共振成像检查显示肝左叶萎缩,脾大,门静脉扩张,肝实质未见明显异常;上消化道造影显示食管下段及胃底静脉曲张。
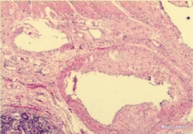
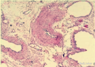
诊断:1.低血容量性休克;2.腹痛伴黑便查因;3.门静脉高压? 治疗:在积极抗休克的同时,决定行剖腹探查术。术中,胃食管下段区域及腹膜后曲张静脉丛未见出血,一段小肠与腹壁形成粘连,粘连处有一支发自肠系膜的曲张静脉穿经小肠,再进入腹壁。该段肠腔中充满淤血,其近端肠腔未发现血液,而远端集聚大量血液。术中肠镜检查发现胃至小肠末端区域血管扩张,但均无出血,小肠与腹壁粘连处曲张静脉有出血点。在结扎曲张静脉、切除出血肠段后,患者血压快速回升。


门静脉高压所致静脉曲张常发生在食管下段、胃部或直肠,极少数可发生在消化道其他位置。消化道外异位曲张静脉则非常罕见。1项纳入169例异位曲张静脉出血的研究显示,17%的异位曲张静脉位于十二指肠,17%位于空、回肠,14%位于结肠,8%位于直肠,9%位于腹膜。对于腹痛黑便的患者患者要小心门静脉高压的可能,尽早针对性治疗。