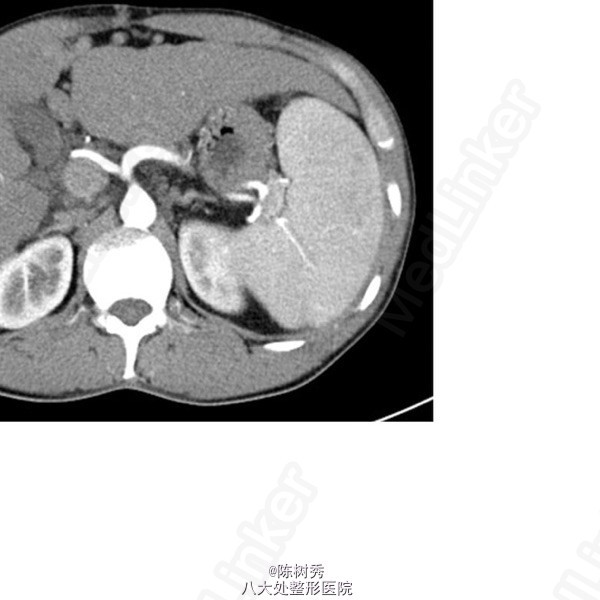
现病史:患者5年前无明显诱因腹胀,伴皮肤粘膜紫癜,无恶心、呕吐、皮肤瘙痒、呕血、黑便、食欲减退、下肢水肿、黄疸、腹痛、胸闷气短、尿量增多等不适,饮酒后出现一过性幻觉,行检查发现腹腔积液(具体不详),诊断为酒精性肝硬化、肝性脑病,患者自此戒酒,1年半前无明显诱因出现黑便,量少,腹胀较前好转,在当地医院就诊,具体检查不详,诊断为:酒精性肝硬化、食管静脉曲张、脾功能亢进,门脉高压性胃病,予止血、补液等处理后好转。9月前患者进食硬质食物后出现一次呕血,量约20ml,为血性粘液物质,2天内伴有500ml不成形黑便,就诊于当地医院,查血常规:HGB:102g/L,PLT:57*10^9/L,WBC:7.05*10^9/L,PT:14秒,行急诊胃镜检查:食管中下段见4条曲张静脉,其中2条曲张静脉呈串珠样,红色征阳性,直径约0.5cm,曲张静脉延伸至贲门口,胃底未见曲张静脉,胃底体散在充血斑,胃窦粘膜花斑充血水肿,红白相间,红相为主,散见多个片状充血斑,诊断考虑:上消化道出血:食管静脉曲张破裂,予止血、抑酸、静脉营养治疗,建议患者行套扎术,患者拒绝,遂出院来我院门诊,门诊血常规(2015-03-16):HGB:151g/L,PLT:62*10^9/L,WBC:3.89*10^9/L,腹部增强CT+门静脉三维重建显示:肝硬化伴门脉高压改变;脾脏增大;脾动脉迂曲;脾静脉迂曲增粗,周围多发侧枝循环;食管、胃底静脉及腹壁静脉曲张,附脐静脉增粗;左肾上腺结合部饱满,门诊以“酒精性肝硬化 门静脉高压症”收入院。
专 科 情 况 腹部平坦,未见胃肠型及蠕动波,腹壁静脉曲张,脐上曲张静脉向上走行,脐下曲张静脉向下走行,全腹软,无压痛、反跳痛,肝脏触诊正中线剑突下5cm可触及肝脏下缘,质中,无压痛,右锁骨中线肝脏不能触及,在左锁骨中线肋下6cm处可触及肿大的脾脏,质中,无压痛,Murphy(-),肝区、肾区扣痛(-),移动性浊音(-),肠鸣音3次/分。 辅 助 检 查 胃镜:食管中下段见4条曲张静脉,其中2条曲张静脉呈串珠样,红色征阳性,直径约0.5cm,曲张静脉延伸至本门口,胃底未见曲张静脉,胃底体散在充血斑,胃窦粘膜花斑充血水肿,红白相间,红相为主,散见多个片状充血斑;提示:食管静脉曲张,胆汁反流性胃炎。 腹部增强CT+门静脉三维重建:肝脏体积增大,左右叶比例失调,边缘欠光整,可见多发小结节样凸起,肝脏内部强化欠均匀。胆囊张力不大,胆囊壁不厚。左肾上腺结合部饱满,右肾上腺大小形态密度未见明显异常。腹膜后及肠系膜根部多发小淋巴结。三维重建:门静脉主干及左、右支增宽,主干直径约2.1cm。脾静脉迂曲增粗,周围多发侧枝循环。食管、胃底静脉及腹壁静脉曲张,附脐静脉增粗。可见多发侧枝循环。脾动脉迂曲,余腹部各动脉未见明显异常,提示:肝硬化伴门脉高压改变;脾脏增大;脾动脉迂曲;脾静脉迂曲增粗,周围多发侧枝循环;食管、胃底静脉及腹壁静脉曲张,附脐静脉增粗;左肾上腺结合部饱满。

诊断:酒精性肝硬化 失代偿期 门静脉高压症 食管静脉曲张 重度 破裂出血 门静脉高压性胃病 脾功能亢进症 腹水 全麻下行“腹腔镜下粘连松解,脾切除,胃底贲门周围血管离断术,食道下段、胃底切除术”,手术过程顺利。
术后恢复良好,规律复查。