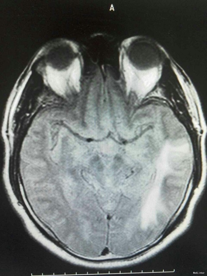
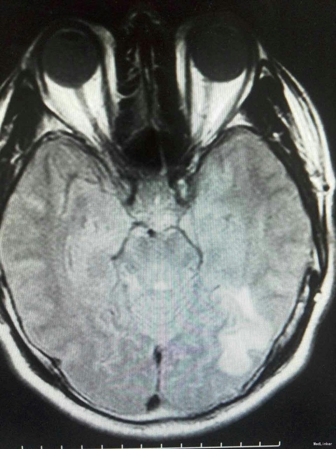
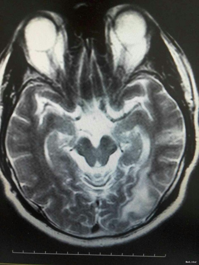
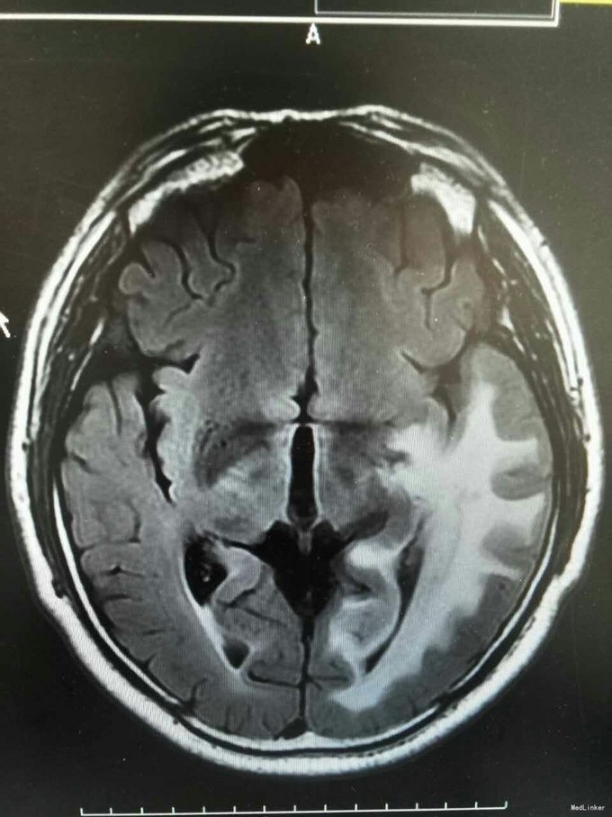
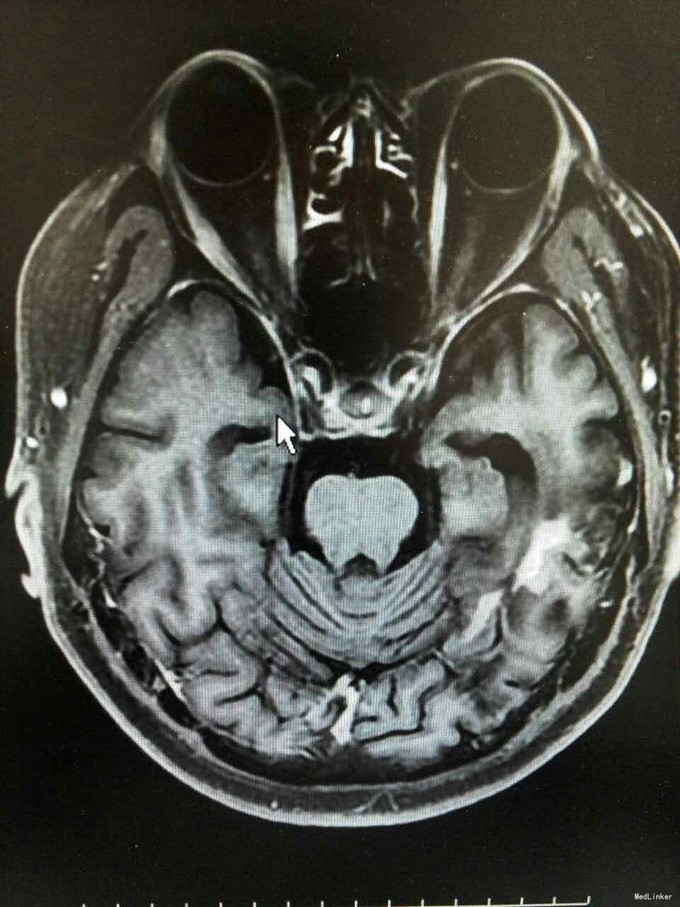
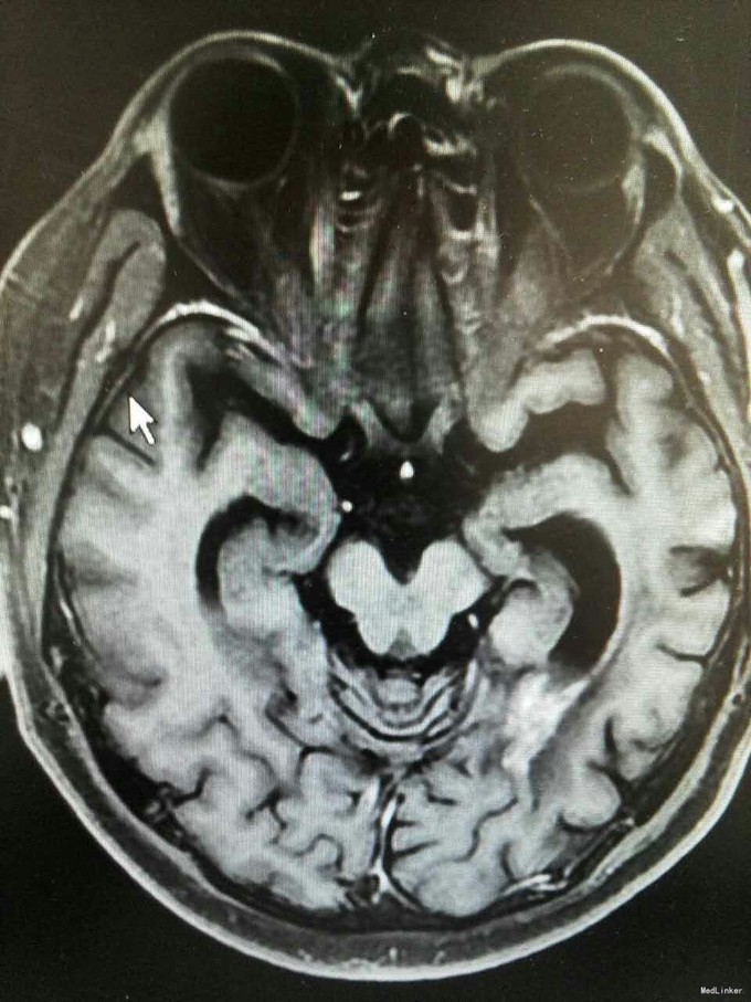
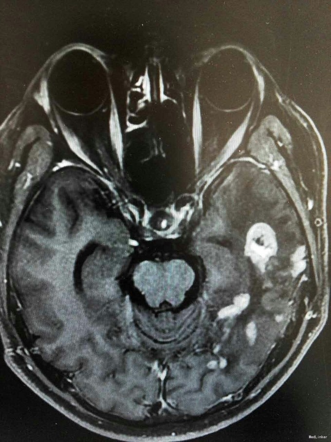
患者姜磊,男,49岁,主因"发作性视野缺损、失认8年余"于2015-11-20再次入我院,患者缘于8年前无诱因出现发作性视野缺损,伴阅读能力、理解力、认知能力下降,每次发作症状持续约3-5分钟左右,可自行缓解,无意识丧失、视物旋转、言语不利,无肢体活动障碍、大小便失禁。入院复查头颅MRI平扫+增强示:原左侧小脑幕、颞叶炎症治疗后,与2014-09-10日片比,病灶较前增多、增大。8年来间断在我院以:颅内非特异性炎症、症状性癫痫、高血压病 住院治疗,患者症状时轻时重,病灶反反复复,激素治疗有效。 病史汇报: 于2007年12月12日因"发作性视野缺损、失认1月"入我院,查头颅MRI示:左侧幕上颞底片状异常信号,并局部强化,考虑:炎症可能,肿瘤不排除;行腰穿检查,颅压120mmH2O ,外观清亮,脑脊液常规、生化均正常。脑电图轻度异常。给予复方磺胺甲恶唑片、青霉素、阿昔洛韦、激素(醋酸泼尼松片)等治疗。 2008年1月8日复查头颅MRI示:原左侧幕上颞底炎性病变范围缩小,综合考虑原颅内病变为炎性病变。于2008年1月19日出院,共住院37天。出院后仍间断出现发作性视野缺损症状。于2008-5-6复查头颅MRI示原左颞叶病变范围有缩小,支持局灶性脑炎的诊断。于2008.5.22~6.12予青霉素480万单位2/日巩固治疗30天。鉴于反复出现发作性视野缺损症状,于2008.6.5诊断性服用卡马西平片后上述症状未再发作,于是坚持服用卡马西平片(0.1g3/日)1年,服药期间未再出现发作性视野缺损症状。 于2012-05-29再次因"发作性双眼右侧视野缺失、闪烁感6天"入院,查头颅MRI示:原左侧幕上颞叶病变治疗后改变,考虑为炎性病变,结核可能。行腰穿示压力125mmH2O,脑脊液常规:颜色:无色,透明度:水样透明,潘氏试验:阴性,红细胞计数:80×106/L,白细胞计数:0x106/L,单个核细胞75%,多核细胞20%,脑脊液生化:蛋白508mg/L,葡萄糖3.3mmol/L,氯化物115.4mmol/L。脑电图印象:基本节律为低-中幅的α波, 频率调幅调节欠佳,分布可,左侧枕区波幅可见较右侧枕区减低。头前区可见少量低幅θ波及β波。深呼吸中见4-5hz慢波增多,有时呈短至中程节律,头前区为著,左侧偏胜。深呼吸后恢复好。睁闭眼试验:半抑制。闪光刺激:未见异常。脑电地形图:以α功率为主,可见θ功率。结论:轻度弥慢性异常脑电图及地形图;给予改善循环、营养神经、活血化瘀、脱水、激素等对症治疗。住院期间未再出现上述发作。 于2013-1-5再次因"发作性双眼右侧视野缺失、闪烁感1周。"入院,行头颅MRI示:左侧颞叶病变治疗后改变,与2012-07-24日片比,左侧小脑幕病变较前增大,左侧颞叶出现新病灶。给予改善循环、营养神经、活血化瘀、抗癫痫、抗感染(青霉素)、激素冲击(甲强龙)治疗后病情好转,于2013-4-15复查头颅MRI病灶再次缩小。患者出院后上述症状仍偶有发作。 于2014-5-12、2014-9-10复查头颅MRI病灶有增大趋势,再次给予抗炎(激素)等对症治疗后,于2014-11-24再次复查头颅MRI示:原左侧小脑幕、颞叶病变治疗后改变,与2014-09-10日片比较,较前明显缩小,水肿较前明显减轻。








