主诉:反复咳嗽半月余。 病史:患者男,18岁,半月前受凉后开始出现干嗽,无呼吸困难,无伴低热、盗汗,当地医院胸片示两肺野多发病灶,查血常规、生化、CRP、G试验、感染筛查、痰找抗酸杆菌未见异常,血沉33mm/h。当地医院诊断为肺结核,予异烟肼、利福平、乙胺丁醇、吡嗪酰胺四联抗结核治疗,现患者为进一步就诊入院。
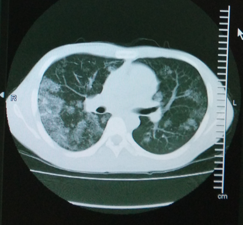
体查:T 36.8℃,BP 125/80mmHg,R 20次/分,P 80次/分。全身皮肤及粘膜未见瘀斑、黄染、苍白,全身浅表淋巴结未触及肿大。双肺活动度一致,叩诊清音,双肺呼吸音稍粗,未闻及明显干湿啰音。心腹查体无异常。生理反射存在,病理反射未引出。 辅查:尿酸UA 607umol/L ↑,红细胞沉降率(ESR,毛细管法) 25mm/h ↑;胸部增强CT:双肺多发多形性病变,以中上肺为主,右侧胸膜增厚、右侧胸腔多发包裹性积液,综合考虑为肺结核。支气管镜病理结果:右上叶后段送检直径0.2cm碎组织一堆,全埋制片。镜下:少量肺及支气管组织,其内见类上皮细胞团及多核巨细胞形成,伴小灶凝固性坏死,形态符合慢性肉芽肿性炎,考虑结核可能性大。刷片见支气管粘膜柱状上皮细胞,未见癌细胞。



诊断:肺结核 治疗:异烟肼300mgQd+利福平450mgQd+吡嗪酰胺1500mgQd+乙胺丁醇750mgQd
随访:患者目前服用四联抗结核药,依从性较好,病情平稳,遂出院。 讨论:本病例患者无盗汗、低热、消瘦等典型结核症状,影像学结果也不是结核典型的部位和表现,单从病史及影像学依据,不能排除合并特殊病原菌感染及肺泡蛋白沉着症,所以安排患者进行支纤镜+病理活检以明确诊断。病理活检结果支持结核诊断,对患者进行四联抗结核治疗,同时嘱患者定期检查肝肾功能、血常规,定期复查胸部影像学。