下载或打开 医联APP 查看完整评论
立即下载
打开APP
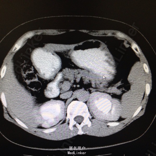
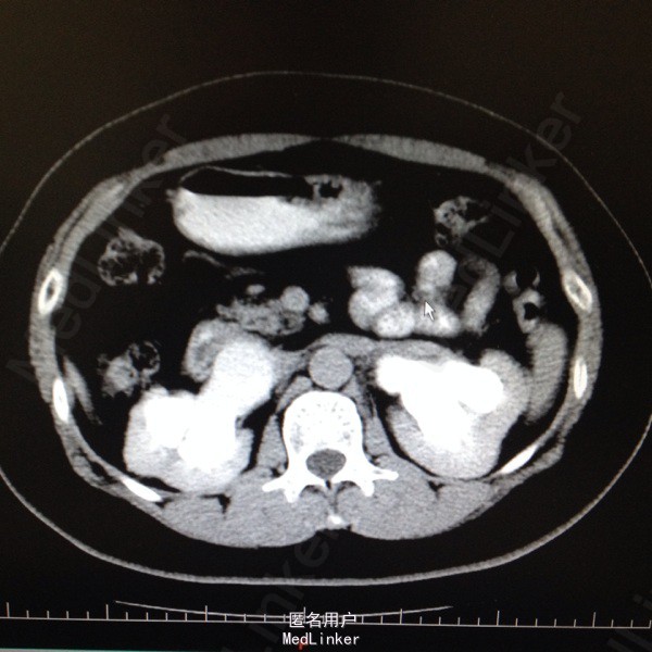
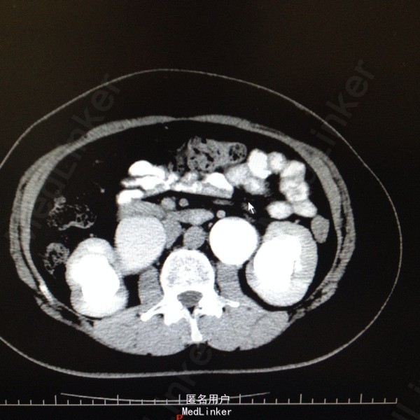
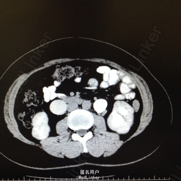
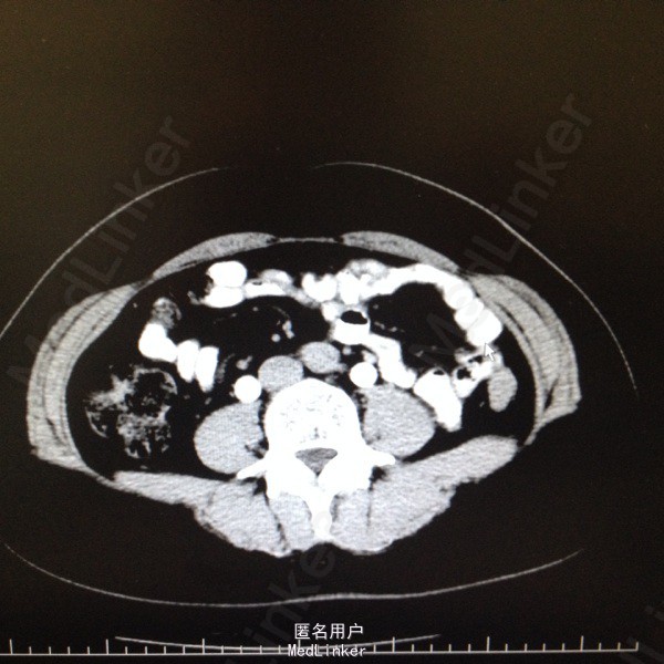
47岁女患。 病史:患者6年前因宫颈癌行全子宫及双侧附件切除。盆腔淋巴结清扫。腹主动脉旁淋巴结活检术。后又行局部放疗。因双肾积水来我科。患者自述平时轻微排尿困难,尿线细。
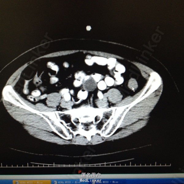
双肾区无叩击痛,双输尿管走形区无压痛。耻骨上区隆起,叩诊浊音。排尿后留置尿管引流尿液400ml。 辅助检查:肌酐99。 ct:双肾及输尿管积水。 留置尿管后一周泌尿系彩超:双肾积水明显减轻。具体见图片。







诊断:双肾及双输尿管积水 神经源性膀胱 给予患者留置尿管后1周行泌尿系彩超检查肾积水减轻。

宫颈癌根治及放疗后双肾积水情况较多见,常因输尿管壁内段狭窄或神经源性膀胱引起。此患者留置尿管后肾积水明显减轻。建议患者继续留置尿管或间断家庭导尿治疗。