患者,女性,50岁,困上腹部小适1年余,加重伴黑便l年余入院。
入院查体:T:36.5℃,P:100 次/分,R:20次/分,BP:141/81mmHg。消瘦.贫血貌,剑炎下饱满、尤压痛.余无特殊。
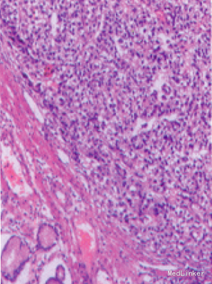
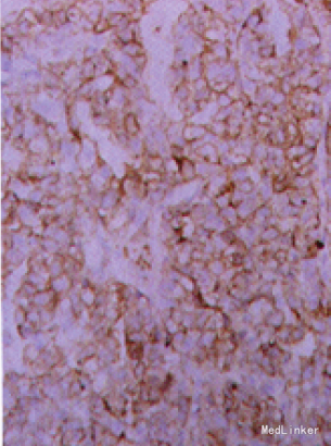
人院后完善相关检查,入院枪查:血红蛋白(Hb)62g/L,癌胚抗原(cFA)2.15ng/ml, CA1 9- 9.85u/ml,甲胎蛋白(AFP)2256ng/ml。钡餐示在胃体部、胃窦部、大弯侧见多个充盈缺损,印象为胃体、胃窦部癌。外院胃镜见胃小弯处有一4cm×5 cm深凹陷溃疡,渗断为胃体低分化腺癌;腹部CT考虑胃小弯及胃窦癌可能,腹腔淋巴结转移。全麻下行剖腹手术,水中探查无腹水.膀胱直肠窝无结节,双侧卵巢无转移,无腹膜播散,肝未触及转移性结节。肿物位于胃小弯,约8cm×6 cm大小,侵及浆膜,活动尚可。胃左及腹腔动脉旁淋巴结肿大并融合。腹腔动脉干处融合淋巴结直径3.5cm。无法切除,遂行胃癌姑息性切除(远端胃大切)加空肠侧侧吻合术。术后病理:送检胃组织牯膜面见一溃疡到肿物,大小为8 cm x 7 cm×3 cm,镜检为肝样腺癌1度分化,浸润至浆膜层。胃左淋巴结4枚中3枚有腺癌转移;胃小弯淋巴结4枚中l枚有腺癌转移。免疫组化结果AFP(+),cK(+),cEA(一),A^r(+),ER (一),PR(+),p53(十+)。


随访:患者出院后因终济原因,一直未进行化疗或放疗,3个月后复查:AFP83.08ng/ml,CEA 2.42ng/ml.但CT提示肝多发性转移瘤。现患者带瘤生存,精神和食欲尚可.一直服用中药治疗。 讨论:肝样腺癌有较特殊的病理学特征,组织学上主要由不同而又密切相关的腺癌区和肝样分化区两部分组成。腺癌区为管状腺癌或乳头状腺癌.而肝样区的瘤细胞特点和排列方式与肝癌相似,细胞大,多边形,胞浆丰富、嗜酸性,部分癌细胞胞浆透亮.核仁大而明显、位于细胞中央,癌细胞组成粱索状或实性窦状,其问被纤维血窦状问质分隔.两者之间有逐渐移行的过程。本病例可见到此病理表现。