下载或打开 医联APP 查看完整评论
立即下载
打开APP
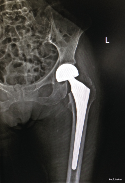
跌倒致左髋部疼痛不适伴活动受限3天 老年女性,家中跌倒后,左侧髋部疼痛。伴活动受限。于家中休养,疼痛不能缓解,翻身等活动后疼痛加重。遂来急诊就诊
查体:左侧下肢轻度外旋畸形。左下肢轴向叩击痛阳性。 辅检:左侧股骨颈骨折。

诊断:左侧股骨颈骨折 治疗:左侧人工股骨头置换

随访:术后2周手术切口愈合好。患者6周逐渐生活自理。6个月后功能康复致术前水平 讨论:术后应告诉患者接受正规的抗骨质疏松治疗。