下载或打开 医联APP 查看完整评论
立即下载
打开APP
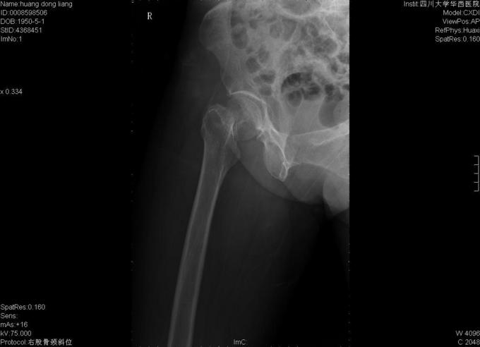
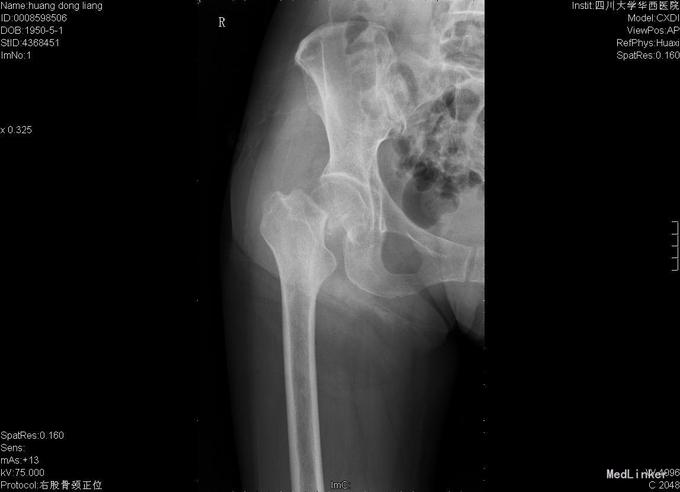
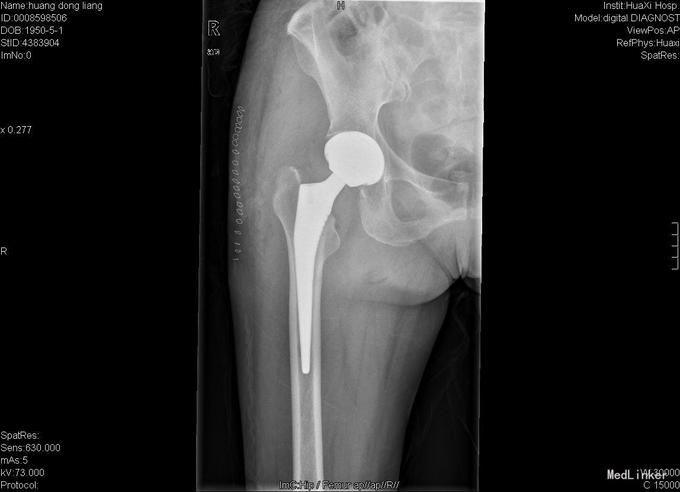
患者女,70岁,因"摔伤后右髋部疼痛、活动障碍10小时"入院,患者诉10小时前在家不慎滑倒,当即感觉右髋部疼痛、活动障碍,于当地医院急诊检查示:右股骨颈骨折,为求进一步诊疗故来我院。

查体:右髋部略水肿,右髋关节活动受限,不能负重。右髋部压痛(+),纵向叩击痛(+)。右髋关节活动受限,右膝及踝、足趾诸关节活动正常。 辅查:X线片示右股骨颈骨折,断端分离、错位。


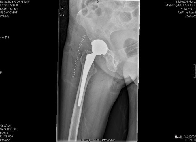
入院诊断:右股骨颈骨折 诊疗计划:择期手术治疗,行右侧全髋关节置换。

骨质疏松性股骨颈骨折患者选用不同治疗方法对预后有着较大的影响,其治疗方案必须考虑骨折部位、类型、移位程度、患者年龄、受伤时间与伤前健康状况等综合因素。股骨颈骨折分型尤为重要,其目的是为了估计预后并指导正确选择治疗方法。

