下载或打开 医联APP 查看完整评论
立即下载
打开APP
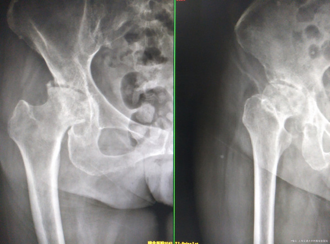
右侧腹股沟区疼痛2年。 右侧腹股沟区疼痛2年。疼痛与活动相关,起病初休息后或服用止痛药物后疼痛可获得缓解。近期疼痛逐渐加重,白天活动后疼痛至夜间亦不能缓解。须长期靠止痛药物维持日常生活。患者自发病以来,神清,精神可,胃纳可,睡眠欠佳,二便无殊,体重无明显改变
神清,精神可,双下肢无明显肿胀,右侧髋关节局部轻压痛(+),叩痛(±),活动受限,4字征(+),轴向叩痛(—) 。 辅查: 右侧髋关节髋臼发育不良,髋关节退行性病变

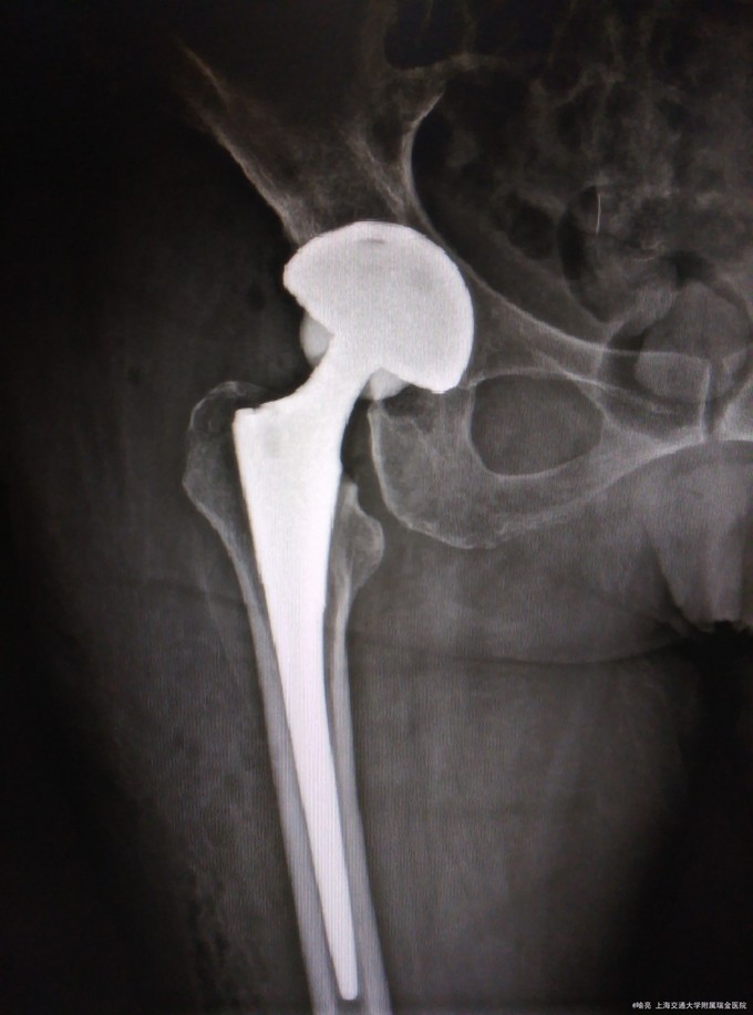
DDH继发髋关节退变 右侧THA

6周后复查患者右侧髋关节疼痛消失,活动度可。 由于DDH髋关节覆盖不足,只要髋关节前后壁是完整的,髋臼杯仍能固定稳定。适度得加深髋臼或上移髋臼杯可以增加髋臼德覆盖。