下载或打开 医联APP 查看完整评论
立即下载
打开APP
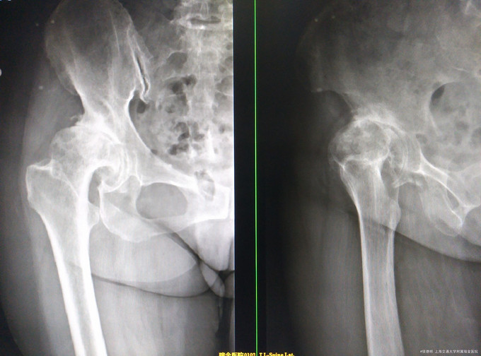
右侧髋关节疼痛10年 近10年来患者走路时右髋关节疼痛伴活动受限,【骨盆正位片】示:右侧髋臼变浅,髋臼边缘骨质密度增高,右侧股骨头变扁外移,骨质密度不均匀,关节面不光整,在关节面下见不规则高密度影,其间小囊状低密度灶,为进一步诊治,拟“右髋DDH”收入院。 患者自发病以来神清,精神可,夜眠胃纳一般,体重无明显下降
神清,精神可,双下肢无明显肿胀,右侧髋关节局部轻压痛(+),叩痛(±),活动受限,4字征(+),轴向叩痛(—)。 X片提示右侧髋关节发育不良,髋关节退行性病变

右侧髋关节发育不良,髋关节退变 右侧髋关节置换术

随访:术后2天拔出引流管。开始功能锻炼。 讨论:各位使用髋臼螺钉的指针是?对找到真正的髋臼底部有何经验?