下载或打开 医联APP 查看完整评论
立即下载
打开APP
主诉:腰部无力伴右脚麻木3-4年 病史:患者女性,67岁,3-4年前出现腰部无力感,腰前屈后无法直起,时伴腰痛,同时有右腿麻木酸胀,走路后症状加重,过去三年中,采用针灸,膏药,理疗等保守方式治疗,症状未明显缓解。近期出现麻木无力感症状加重。
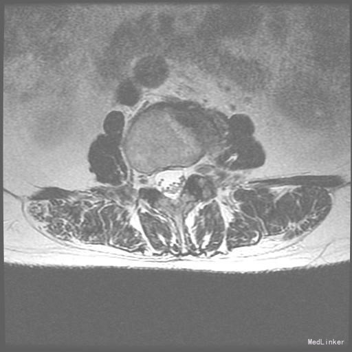
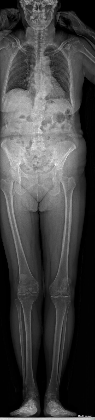
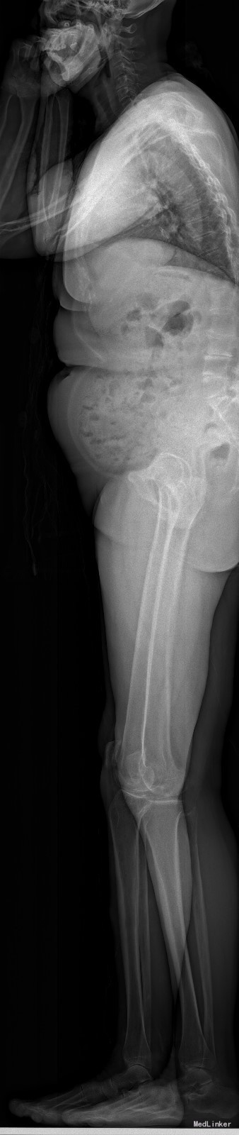
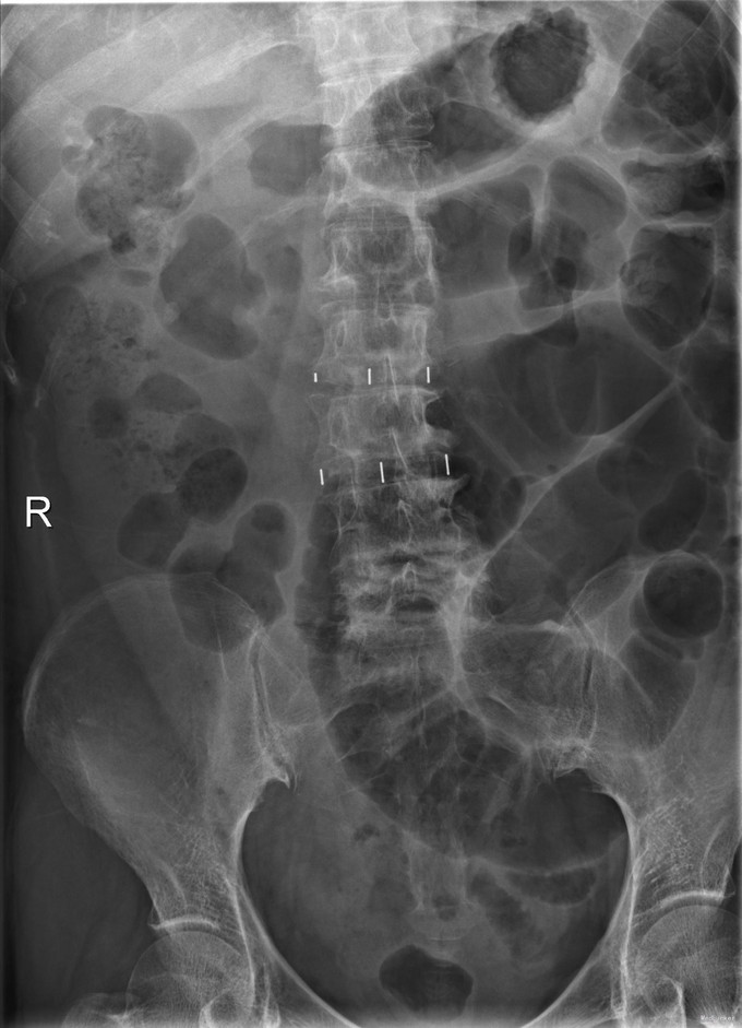
查体:脊柱无明显侧弯,腰背部无压痛,双下肢麻木酸痛,可牵连至脚跟。肌力肌张力可。腰部活动可,前屈后伸时感酸痛,无力。左侧直腿抬高试验阳性。 辅助检查:X线平片:腰椎侧弯前屈,L3椎体轻度滑脱,各椎间隙狭窄,腰椎退行性改变。 MRI:L4-5,L5-S1椎间盘膨出,L2-3,L3-4,L5-S1椎间隙狭窄,S2-3水平骶管内蛛网膜囊肿,腰椎序列不稳定,生理曲度局部后凸。






诊断:1 脊柱侧弯 伴不稳 2椎管狭窄 治疗: 前期微创腰椎侧路融合手术+后期 微创后路经皮内固定




随访:术后1月,患者腰部及腿部酸痛改善,步行良好。