下载或打开 医联APP 查看完整评论
立即下载
打开APP
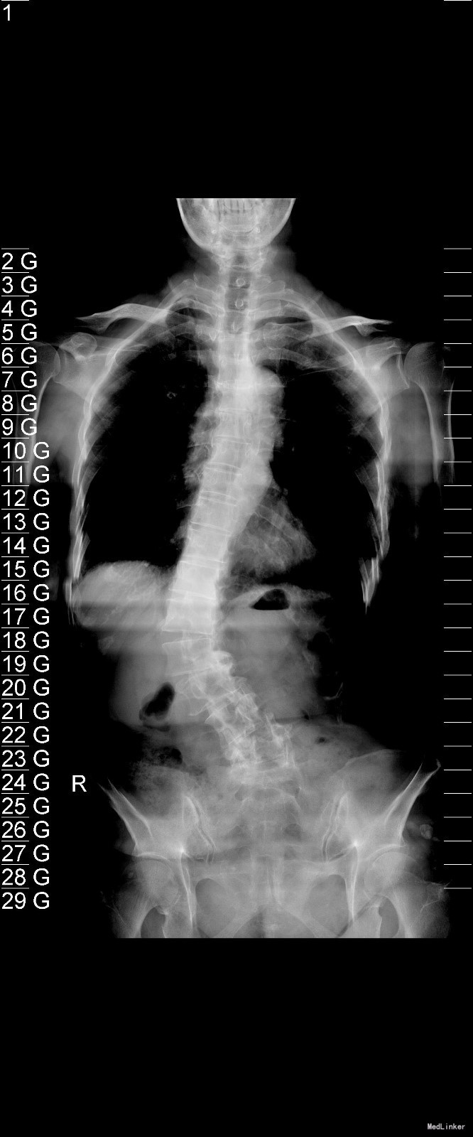
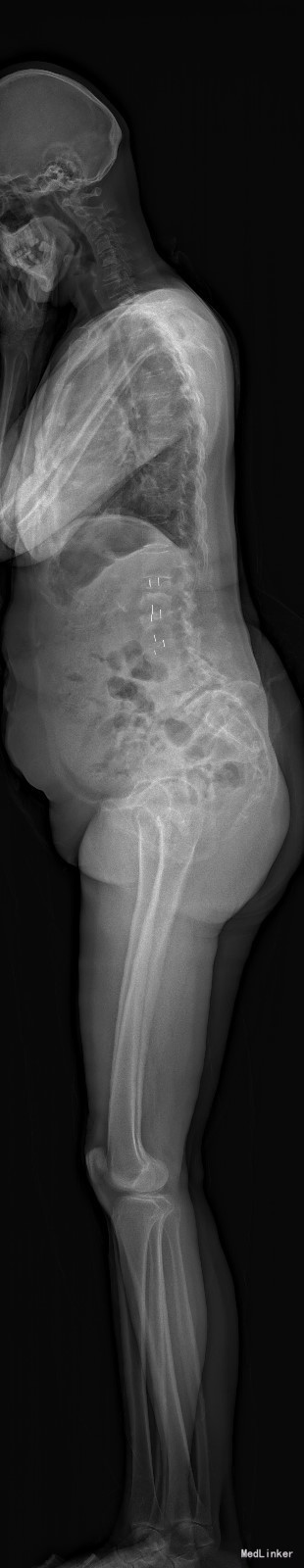
主诉:右下肢麻木11年,腰部酸痛无力 现病史:女性患者,65岁,患者于11年前无明显诱因下出现右下肢麻木,自大腿至右踝部,站立位加重。未予重视,后期出现腰臀部僵硬,弓背僵硬无力,自主行走距离不足200米,曾于06年经X线平片及MRI检查:腰椎椎管狭窄伴有腰椎滑脱,椎间盘突出等。
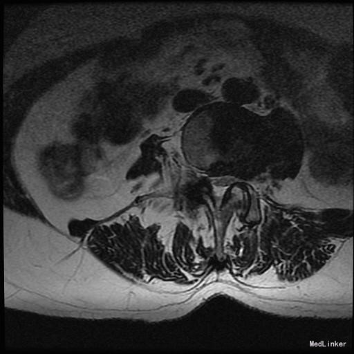
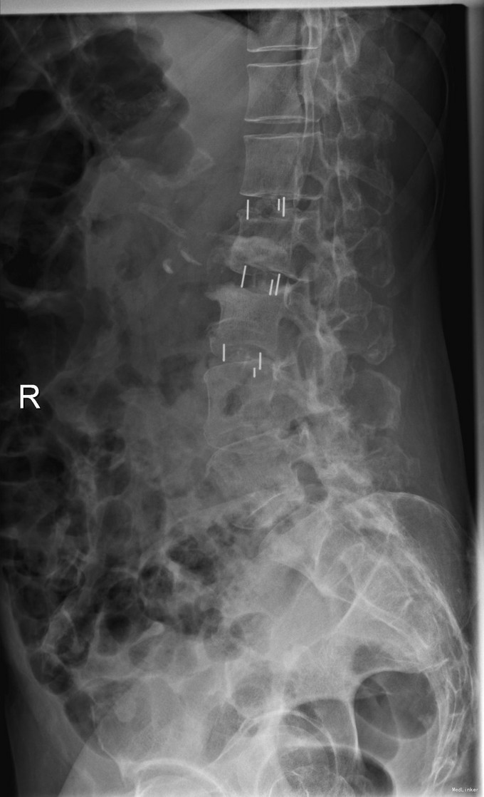
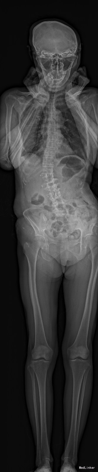
查体:侧弯畸形,右臀部及右下肢麻木疼痛,腰部活动受限,难以站立。右侧支腿抬高试验60°。双下肢肌力肌张力可。 辅助检查:平片:腰椎侧弯,椎体滑脱,曲度后凸 磁共振:L2-3,L4-5,L5-S1腰椎椎管狭窄,l2-3L3-4L4-5L5-S1腰椎间盘突出,腰椎退变









诊断: 腰椎侧弯,腰椎间盘突出 治疗:1期微创侧路椎体融合术+2期 微创后路经皮内固定术




随访:患者戴支具术后可早期下床活动,术后三周后行后路固定手术