下载或打开 医联APP 查看完整评论
立即下载
打开APP
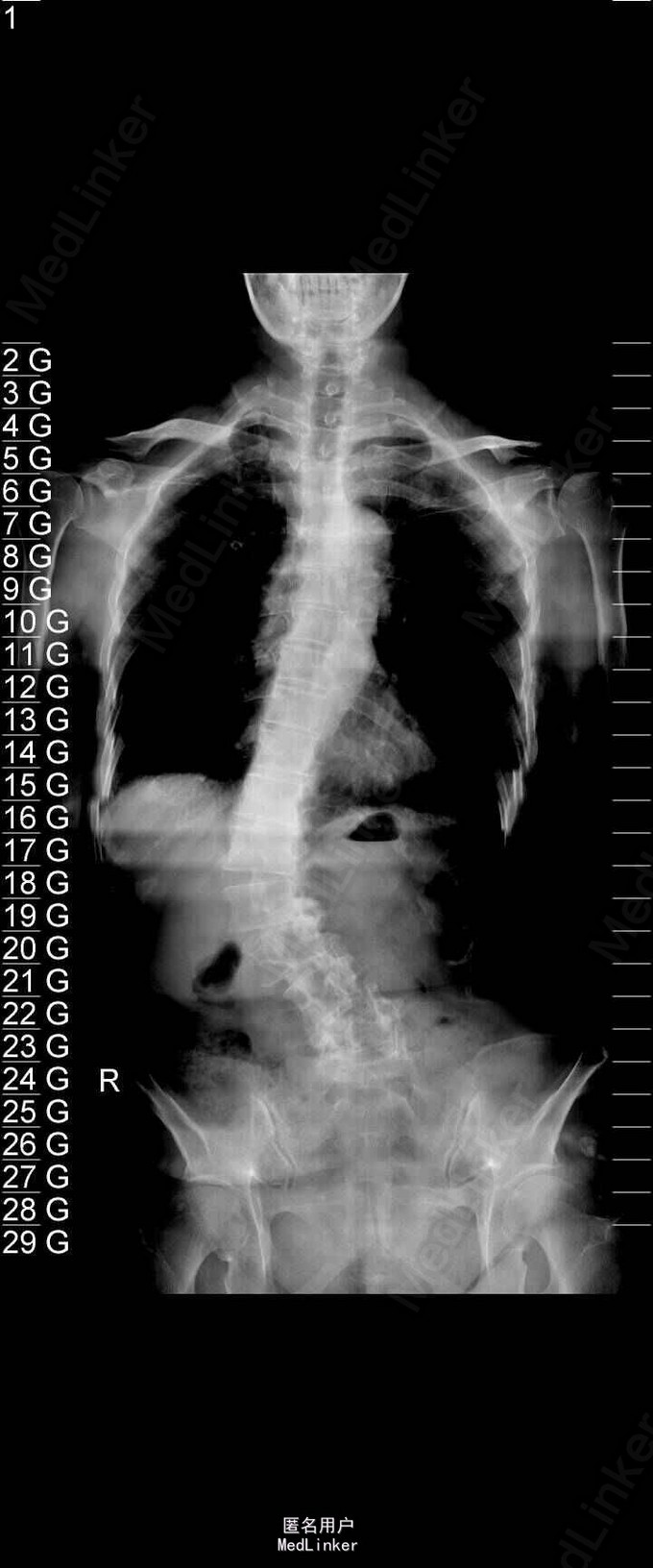
主诉:右下肢麻木伴驼背11年余 病史:患者女性,64岁,11年前无明显诱因出现右下肢疼痛,休息后好转。未予重视,后出现右下肢麻木感,逐渐小狐仙右臀部坚硬,驼背,伴跛行。常感双腿酸胀,腰部疼痛。自行步行距离小于200米,即会发生右下肢僵硬,麻木疼痛。X线检查示腰椎侧弯






查体:脊柱侧弯,上肢无麻木,疼痛感觉异常,腰部右侧疼痛,右下肢及右臀部疼痛,麻木感。双侧肌力及肌张力可,膝腱反射(+),踝反射(+),病理征(—),直腿抬高试验。右侧40度,左侧55度。 辅助检查:腰椎x线片:腰椎侧弯,腰椎退行性改变,L5椎体略行前滑脱 脊柱全长:胸腰段呈S形,L5椎体向前滑脱,L3椎体略变扁,颈胸腰椎退行性改变 MRI:脊柱侧弯,L2-3,L3-L4,L4-L5,L5-S1椎间盘突出,相应节段椎管狭窄









诊断:腰椎侧弯,腰椎椎管狭窄 治疗:手术矫形:早期侧路减压融合,后期再行后路固定。




随访:病人初期手术时间段,术后恢复较快,病人神经压迫症状解除,腰部侧弯获得一定程度的矫正,术后起床用支局支撑后,可以下床活动,后期手术行后路经皮内固定。