下载或打开 医联APP 查看完整评论
立即下载
打开APP
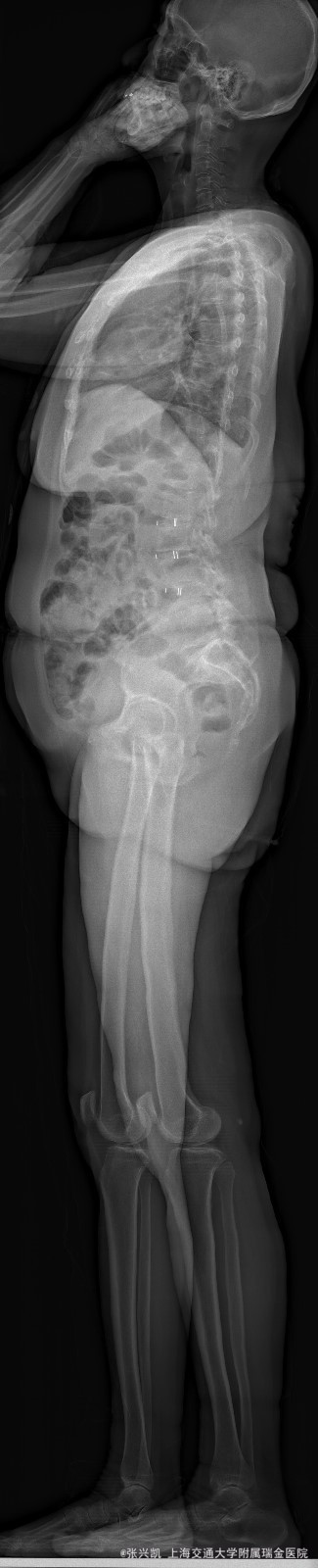
主诉:双下肢麻木7年,腰部酸痛无力 现病史:女性患者,70岁,患者诉腰背无力十几年,约于7年前无明显诱因下出现下肢麻木,站立位加重。后出现腰臀部僵硬,弓背加重,行走距离较短, 不足百米,几年前外院检查诊断为腰椎管狭窄,具体不详。



查体:侧弯畸形,右臀部及右下肢麻木疼痛,腰部活动受限,难以站立。右侧支腿抬高试验50°。双下肢肌力肌张力可。 辅助检查: 磁共振:L1-5,L5-S1腰椎椎间盘突出,腰椎退变,腰椎侧弯





诊断: 腰椎侧弯,腰椎间盘突出 治疗:1期微创侧路椎体融合术+2期 微创后路经皮内固定术


患者侧路微创术后神经压迫症状减轻,腰椎矢状位及冠状位腰椎力线得到改善,戴支具术后可早期下床活动,术后2周后行后路固定手术。

