下载或打开 医联APP 查看完整评论
立即下载
打开APP
患者,女,48岁。 主诉:乏力1年,加重10余天。 现病史:患者1年前无明显诱因感到四肢乏力,伴夜尿增多。10余天前患者感四肢乏力较前加重,双足有“麻木”感,上楼梯时加重,当地医院查血肌酐为905.78umol/L,为进一步治疗入住我院。
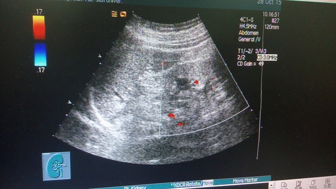
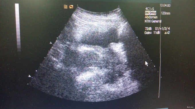
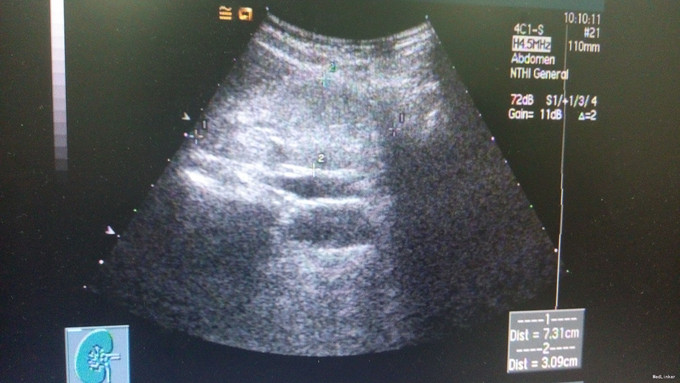
查体:血压135/84mmHg,双下肢可凹性浮肿,眼结膜苍白。 辅查:肌酐924.00umol/L,铁5.7umol/L,总铁结合力30.5umol/L,血红蛋白73g/L,尿素32.13mmol/L,尿酸499umol/L。 肾脏B超显示慢性肾功能不全声像,双肾缩小。对患者进行肾小球滤过率估计:eGFR为4mL/min/1.73mE2。




诊断:慢性肾脏病5期, 继发性贫血 治疗:对患者状况进行评估后对患者进行腹膜透析置管术,进行低改透析,并予口服降磷、补铁及补充促红素治疗。
随访:患者维持性腹膜透析,等待肾源,待适合时进行肾移植。 讨论:该患者病情发展较快,自有自感症状至肾衰竭仅有一年的时间,病情比较中,肾小球滤过率非常低,而且已经有了严重的贫血征象。该患者贫血为肾性贫血,是由于肾脏内分泌功能减退,从而导致促红素合成不足,故而该患者的贫血除了补充铁剂外还有注射促红素。另外患者已肾衰,已经没有必要进行肾穿刺活检,明确原始病因了。