下载或打开 医联APP 查看完整评论
立即下载
打开APP
患者为62岁男性,主因双手麻木1年余入院。患者缘于1年余前无明显诱因出现双手麻木疼痛,至当地医院就诊,具体诊疗不详。后患者自觉症状逐渐进展。遂来我院。既往有糖尿病史2年,平素不规律服用降糖药,血糖控制较差。长期大量吸烟饮酒。
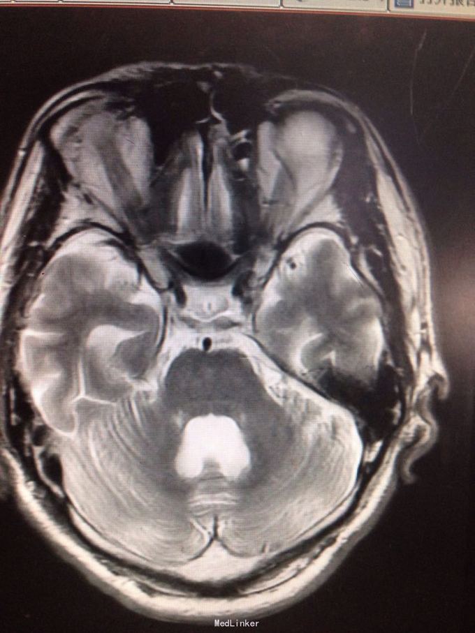
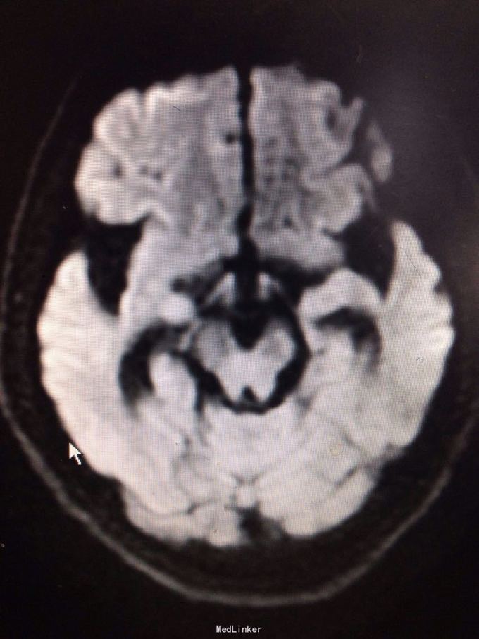
查体可见右手3、4、5指肌力3级,余肢体肌力5级。四肢腱反射减弱。 颅脑MR提示:右侧中央前回皮层下亚急性腔梗,脑萎缩,脑白质变性。 糖化血红蛋白8.2%。


诊断考虑为糖尿病周围神经病。 入院后予改善循环,促进神经生长,控制血糖等治疗。
患者经治疗自觉麻木感较前有所好转,遂出院。出院后建议患者戒烟限酒,严格控制血糖。