62岁老年男性,因“咳嗽,咳极少量粘液痰,逐渐加重的劳累性呼吸困难3年”入院。患者当过车床机械师,参与决策铁铸造铁零配件,没有使用护具,暴露于铁粉40年。患者吸烟,吸烟指数为900。患者有高血压病史,在过去2年中服用氨氯地平和阿替洛尔治疗。
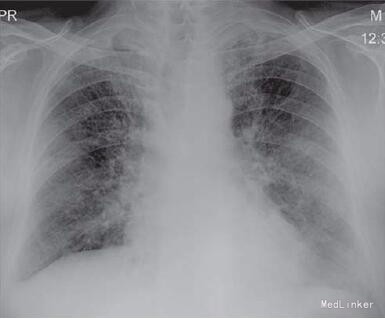
查体:杵状指,双肺吸气末捻发音。余未查见特殊。 辅查:血常规、肝肾功均正常。锻炼前后(步行实验)氧饱和度和脉搏分别为95/88和89/98,超声心动图提示I级舒张功能不全,左室射血分数为55%,肺动脉压为25mmHg,肺功能提示混合性障碍,FVC为2.36(预计值为69%),FEV1为1.63(预计值为56%),FEV1/ FVC比为68,胸片提示双肺网状影(图1),高分辨率CT(HRCT)提示小叶间隔增厚及蜂窝状影(图2). 支气管肺活检显示间质性纤维化伴炎性浸润,有慢性炎细胞浸润。炎性细胞间的巨噬细胞充满色素,普鲁士蓝铁特殊染色为阳性,提示铁末沉着病(图3)。





诊断为:肺铁末沉着症引起的间质性肺病
随访:一年后随访患者肺功能FEV1和FVC下降,HRCT无显著恶化。 讨论:肺铁末沉着病常见于电焊工人,其他也有患此病风险的是开采和加工铁矿石、钢铁轧钢厂、铸造工人。该病尚未报道见于车床工人。目前HRCT是诊断间质性肺病的推荐检查,常常表现为磨玻璃样影。组织病理学发现纤维化肺泡隔间有铁质沉着为诊断标准。暴露于铁尘是不管是在吸烟还是非吸烟患者都是引起阻塞性肺功能不全的危险因素。因此该患者阻塞性肺功能异常可能是吸烟和暴露于铁尘造成的。吸烟可能通过破坏呼吸上皮降低肺去除灰尘 的能力。另外,通过在工作场所吸烟吸越深,吸烟者可吸入比不吸烟者更多的灰尘。从而, 吸烟可能加重了铁末沉着。该病例提醒临床医生必须对有潜在的职业暴露引起的间质性肺疾病保持高度的怀疑和获得一个完整的职业状况。 引自[Interstitial Lung Disease due to Siderosis in a Lathe Machine Worker]