患者,女,77岁。急性起病,因“头晕、右侧肢体活动不灵、麻木1天”为主诉入院。 现病史:1天前患者无明显诱因突然出现头晕,右侧肢体活动不灵及右侧偏身麻木,站立不稳,不能行走,身体向右侧倾倒。伴有视物旋转,恶心呕吐胃内容物。无视物双影,无饮水呛咳及吞咽困难,无明显言语不清,无意识不清等。症状持续约1小时后有所好转。当时就诊于我院急诊,完善头CT检查后给予克林澳、申捷、阿司匹林等治疗。 现为求进一步系统诊治经我科会诊以“急性脑梗塞”为诊断收入院。病来无发热,无胸闷胸痛及呼吸困难。饮食睡眠可,二便正常。 既往史:去年及今年4月份曾有过两次一过性意识不清发作,持续数分钟好转。于医院检查后诊断脑梗塞。平素偶有心慌症状。否认高血压、糖尿病、冠心病病史;年轻时患结核,已治愈,遗留肺尖钙化。否认手术及外伤史。 个人史:生于本地,无异地久居史。否认烟酒等不良嗜好。 过敏史:否认食物及药物过敏史。 家族史:否认家族性遗传病病史。
查体:神志清楚,构音尚可。查体合作,记忆力,计算力,定向力正常。无眼睑下垂,双瞳等大正圆,D=3.0mm,对光反射灵敏。左眼内收首限,无复视,双眼右视有眼震。面部痛觉正常对称,双侧鼻唇沟基本对称,示齿口角未见明显偏斜。伸舌不偏。悬雍垂居中。右侧肢体肌力5-级,肌张力可。无不自主运动。共济运动未见明显异常。右下肢痛觉稍迟钝,余未见明显异常。BCR L++R++, PSR L- R-,Chaddock征:L-R-,Babinski征L-R-。颈软。NIHSS评分:1分。 辅助检查: 头CT提示双侧大脑半球多发脑梗塞。 心电图提示都行窦性心律,心率71bpm,偶发室性早搏。 头磁共振提示左侧脑桥背侧新发梗塞,MRA示脑内动脉硬化,椎基底动脉明显狭窄。 颈部血管彩超:左侧颈动脉窦部可见多个斑块,较大者约9.1x1.5mm,呈强回声,彩色血流充盈尚可。右侧颈动脉窦部可见3.3x2.3mm强回声斑块,彩色血流充盈尚可。 心脏彩超提示:主动脉瓣退行性病变伴轻度返流,左室舒张功能减低,静息状态下左室整体收缩功能正常。 胸部CT:双肺下叶散在炎症。 化验:WBC:7.8x10^9/L,NE%:84.7%。NT-proBNP,肌钙蛋白,CK-MB,肝肾功能,钾钠氯未见明显异常。D-二聚体:285ng/L。化验:甘油三脂 1.62mmol/L;胆固醇 5.22mmol/L;低密度胆固醇 3.37mmol/L;血糖(空腹) 5.19mmol/L;游离三碘甲状腺素 3.99pmol/L;游离甲状腺素T4 15.89pmol/L;促甲状腺激素 0.1785uIU/mL;糖化血红蛋白 5.7%;



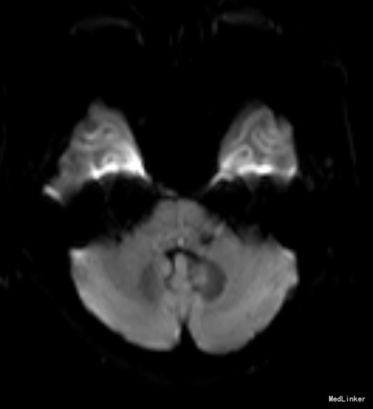
老年女性,急性起病。查体可见左眼内收受限,双眼右视时有水平眼震。影像学提示左侧桥脑背侧梗塞。与临床相符。考虑前核间性眼肌麻痹。 附上另一例前核间性眼肌麻痹头MRI,如图:


需与其他原因引起的眼肌麻痹进行鉴别: 糖尿病性眼肌麻痹:急性起病, 突然发生眼肌麻痹, 无或仅有轻微头痛; 有明确糖尿病病史或病史不详而发病后血糖升高伴有糖化血红蛋白升高或糖耐量异常; 经过头部MRI、MRA或CTA检查排除动脉瘤、脑干梗死及出血、海绵窦附近及颅底病变; 脑脊液检查正常。 脑干卒中性眼肌麻痹:具有脑血管病危险因素; 卒中样起病; 经过头部MR I检查脑干有小的梗死灶或小量出血; 排除动脉瘤及占位病变。 重症肌无力:慢性起病, 症状呈现典型的晨轻暮重; 可以伴有吞咽障碍 ; 新斯的明实验及疲劳试验阳性; 肌电图低频刺激呈明显递减现象。 Fisher综合征:急性或亚急性起病的眼肌麻痹伴有共济障碍和腱反射减低或消失; 病前有消化道或呼吸道感染史;肌电图神经传导速度减慢; 脑脊液蛋白细胞解离。 痛性眼肌麻痹:急性、亚急性或慢性复发性眼肌麻痹伴有额部疼痛, 可以两侧同时或先后出现, 也可以一侧发生; 排除动脉瘤及海绵窦附近占位病变; 排除糖尿病; 皮质类固醇治疗明显有效。 后交通动脉瘤性眼肌麻痹:急性发病, 伴有或不伴有头痛, 经过CTA 或DSA确定诊断。 结核性脑膜炎性眼肌麻痹:头痛、发热、颈项强直; 腰穿符合结核性脑膜炎的诊断标准; 排除颅内占位性病变; 可以有脑压增高及脑积水; 可以伴有肺结核。 多发性硬化性眼肌麻痹:急性或亚急性发病, 有脑内、脊髓内脱髓鞘病灶或视神经炎; 病程必须有缓解与复发经过;没有脑血管病危险因素; 排除其他脑部疾病; 皮质类固醇治疗明显有效。 Graves病慢性眼肌麻痹:伴有眼球突出和疼痛, 经过眼部CT或MR I证实眼肌肥大; 患有明确的甲状腺疾病。