患者69岁,男性,慢性起病。 主因双上肢不自主抖动9年,吞咽困难4年入院。 现病史:患者于9年前开始右侧上肢出现不自主抖动,呈搓丸样运动,紧胀时加重,睡眠后消失。1年后左上肢出现不自主抖动。近4-5年面部表情少,眼神发直,头部后仰强直,头面部油脂偏多,近3年排便排尿费力,情绪躁动,爱发脾气,去年曾有过幻视。近4年双上肢抖动好转,开始出现运动缓慢,进食费力,饮水呛咳,言语笨拙,逐渐加重。3年前开始出现行走时慌张步态,启动缓慢,小碎步,停止及转身费力,走路时容易跌倒,尤其转身时容易跌倒,向后倾倒,近1年加重,有时也向前倾倒。近2年不能自己行走,需搀扶。最近1年,很少说话,偶尔有自发语言。患者于2008年开始口服美多芭,目前四分之三片日三次餐前1小时口服,息宁半片日三次口服,病情缓解不明显,进行性加重。为求进一步诊治来我院门诊,门诊以“帕金森痴呆”收入院进一步诊治。 既往史:否认高血压、糖尿病、心脏病病史,否认肝炎病史 过敏史:否认食物及药物过敏史 个人史:饮酒史20年,每日约半斤白酒,近10年戒酒;否认吸烟史 家族史:否认家族遗传病史
查体:Bp:120/80mmHg,T 36.5℃,P 69次/分,口唇无发绀,巩膜及全身无黄染,颈静脉无充盈,双肺听诊未闻及干湿罗音,心律齐,腹软,无压痛及反跳痛,双下肢无水肿。神经系统查体:神清,问话不答,双眼球各向运动受限,无眼震,双瞳等大正圆,D=2.5mm,对光反射灵敏,额纹对称,闭目有力,双侧鼻唇沟对称等深,伸舌居中。四肢3级以上肌力,四肢肌张力稍高,BCR (L++R++),PSR(L+R+),Babinski征L-R-,颈强。余查体不配合。 辅助检查:纤维蛋白原含量 4.7g/L,D-dimer 3494ug/L,白细胞 12.3*10^9/L,中性粒细胞百分比 74.5%,红细胞 4.0*10^12/L,血红蛋白 112G/L; 尿素 9.44mmol/L,肌酐 124.7umol/L; 钠 146mmol/L,氯 108.9mmol/L; 胸部CT示左肺上叶下舌段少许慢性炎症。头部MRI示脑内多发腔梗,脑萎缩。泌尿系彩超: 右肾结石,右肾囊肿。



该患者老年男性,慢性起病,急性性加重。以震颤,肌张力增高,运动迟缓,轴性共济失调,双眼活动受限为主要症状,目前考虑进行性核上性麻痹。该病早期可表现帕金森病症状,病程中出现轴性共济失调,易跌倒,转身时明显,双眼水平运动障碍,对多巴胺疗效差。
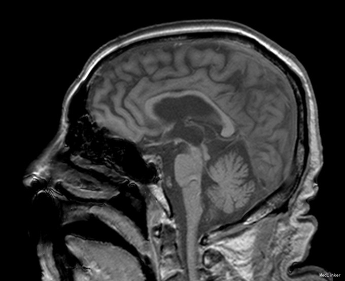
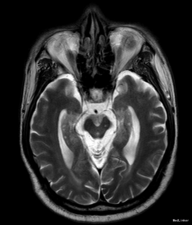
临床表现:(1)核上性眼肌麻痹:是PSP最具诊断价值的临床表现,出现早晚差异很大,一般在出现核上性眼肌麻痹时才得以诊断。早期表现为两眼追随性下视麻痹、上视受限,逐渐发展成完全性垂直凝视麻痹,晚期侧视运动亦受累。自发性凝视较追踪性凝视更易受累,但核上性眼肌麻痹常在发病多年后才出现,给早期诊断造成困难。(2)帕金森综合征症状:常对称起病,步态不稳是最常见的首发症状,尤易向后跌倒,系眼-前庭功能障碍、躯干强直、少动所致。轴性肌强直是本病的另一特征,即颈肌及上部躯干肌强直比四肢强直明显,表现为身体笔直伴颈后仰的特殊体姿。(3)假性延髓性麻痹。(4)认知功能障碍与行为异常:认知功能障碍以皮质下痴呆为特征,表现为思维缓慢、健忘伴淡漠、抑郁及执行功能减退。晚期可出现睁闭眼失用症。 MRI特征:脑MR平扫可见第三脑室和脚间池变宽、中脑和四叠体萎缩、导水管周围FLAIR像高信号等改变,还可出现不同程度大脑皮质萎缩,以额叶明显。在MR正中矢状面T1加权像平扫,PSP以中脑顶盖萎缩为主,中脑嘴明显变尖,使中脑、脑桥和小脑整体上形似蜂鸟,称为“蜂鸟征”(humming bird sign)。PSP患者MR轴位可见中脑前后径明显缩短,谓之“鼠耳征”(mouse ears sign);同时,由于中脑被盖部外侧缘凹陷,也可表现为“牵牛花征”。