主诉:右下颌第二磨牙髓腔开放1月余 现病史:1月前因牙齿疼痛于院外口腔诊所行右下后牙髓腔开放术及根管治疗术,未行继续治疗,今来我科行右下后牙牙体治疗。 既往史:6年前行右下后牙牙体治疗术及冠修复术,术后疼痛未消失,2年前再次行根管治疗术,术后效果不理想,偶发疼痛,自诉根尖区阴影持续存在。

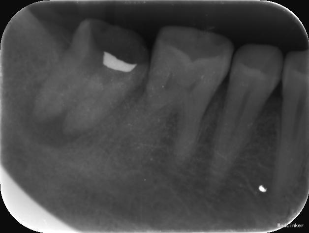
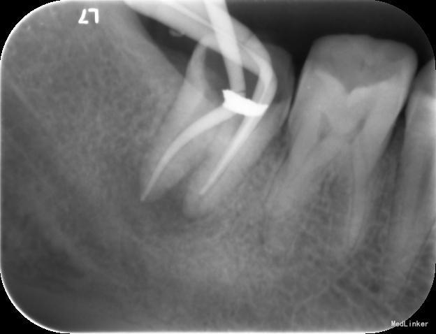
检查:右下7髓腔开放,可见髓腔内食物残渣及部分银汞充填体,叩痛(++), 冷热刺激无反应,松动1度,牙体已制备,牙合龈距离低,X线片示根尖区密度减低区。
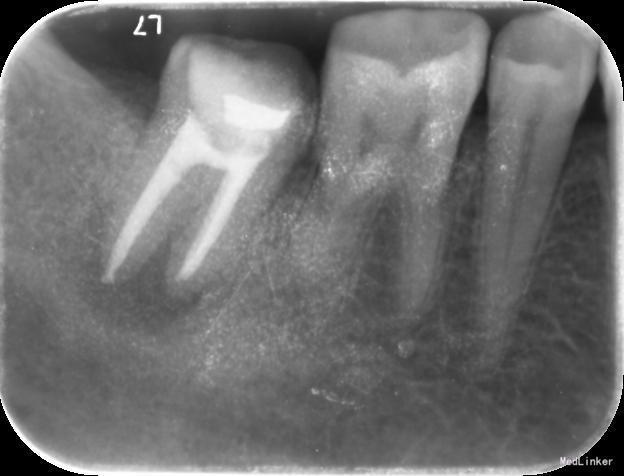
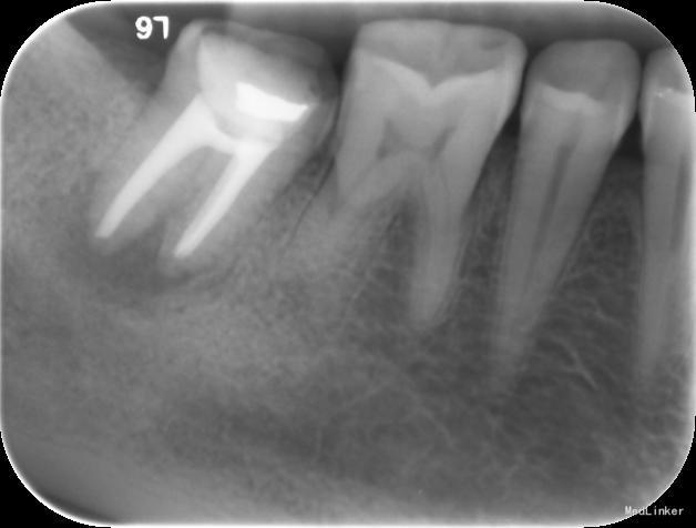
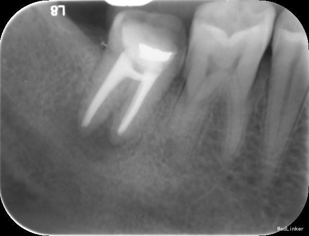
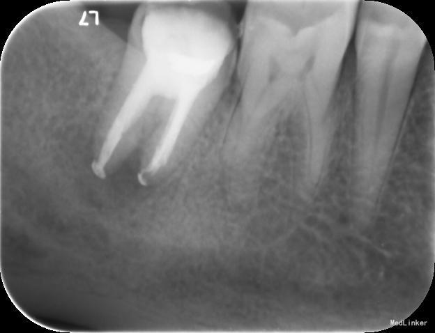
诊断:难治性根尖周炎 治疗计划:告知患者病情,治疗难度及预后,拟行根管再治疗,但术后效果不确定,如若不理想拟需行根尖手术甚至牙拔除术。患者知情同意,并要求尽量行保留牙齿治疗。 处置:第一次 揭全髓顶,去腐,疏通根管,测量工作长度,机扩预备至S1,超声荡洗,激光消毒,封CP球。口服抗炎药。一周后复诊。 第二次 复诊无叩痛,暂封物在。去除暂封物,双氧水和盐水交替冲洗,EDTA伴随下根管预备至F2,超声荡洗,激光荡洗+激光消毒,封氢氧化钙。两周后复诊。 第三次 复诊无叩痛,暂封物在。 去除暂封物,双氧水和盐水交替冲洗,EDTA伴随下根管预备至40号,超声荡洗,激光荡洗+激光消毒,封vitapex,玻璃离子体充填。拍X线片。一月后复诊。 第四次 复诊无疼痛 旧充填体在 拍X线片可见根尖阴影变小,故未行任何治疗,嘱患者1月后再次复诊。 第五次 复诊无疼痛 旧充填体在 拍X线片未见根尖阴影变小,故去除旧充填体,冲洗,去除vitpex,根管再次预备,双氧水和盐水交替冲洗,超声荡洗,激光荡洗+激光消毒,封氢氧化钙。两周后复诊。 第六次 复诊无疼痛 去除暂封物,冲洗,见根管内无渗出,试尖,超声荡洗,激光荡洗和消毒,干燥,AHplus糊剂和热牙胶充填,糊剂超填,玻璃离子体充填。请口腔外科医生会诊是否可行根尖手术,外科医生建议因手术难度大,且病变与下颌神经管接近,建议随诊观察,暂不考虑行根尖手术。必要时考虑意向性牙再植术或者牙拔除术。嘱患者1月后复诊,结果患者失诊。





讨论:难治性根尖周炎治疗难度大,此患者因根尖阴影持续存在6年,且反复行根管治疗均未见好转,髓腔开放达1个月之久,故可判断治疗难度很大,预后也较差。所以术前评估很重要,对患者的交代沟通更是尤为重要。