打开应用

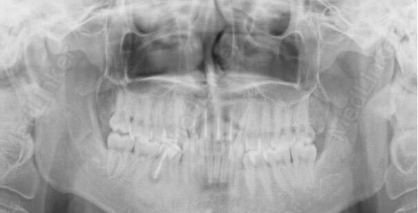
右侧下颌第二前磨牙根尖周炎

焦医师   西安交通大学口腔医院
根尖周炎

主诉 病史

右侧下颌后牙区咬合痛1周

查体 辅查

右侧下颌第二前磨牙叩痛,松动度可。余未见异常。曲面断层片提示右侧下颌第二前磨牙根尖密度减低,髓腔内可见根充物质,

诊断 处理

去除根充物质,一周后重新根充

随访 讨论

RCT治疗后根尖区密度增高,恢复良好。

发布于 16-12-22 23:57

7 个评论

发送