主诉:左下后牙约诊间疼痛,转诊。 现病史:患者68岁,男性,高血压治疗,无不良嗜好。 患牙曾于外地“治疗牙神经”,后偶有疼痛,9日前因急性根尖周炎来我科第一次就诊:35#去除不良充填体及根管内旧充填物,根管内溢脓,0.7%次氯酸钠冲洗,CP棉球,ZOE暂封一周。 2日前复诊:患牙疼痛减轻,检查见35#暂封完好,叩诊叩痛(-),探诊探痛(-),处置:35#根管预备至40#,20mm,冠方参照点为近颊洞缘,氢氧化钙根管消毒,CP棉球,ZOE暂封。现疼痛1日,无法耐受,复诊并转诊。(注36#另有治疗方案,不影响35#治疗,不赘述)

检查:35#暂封在,叩诊叩痛(++),牙龈红肿。
诊断:急性根尖周炎,约诊间疼痛 处置: 第一次就诊: 处置:35#去暂封,取棉球,超声+0.7%次氯酸钠冲洗,降咬合,开放。 医嘱:全身抗炎:牙周康,局部含漱吮吸,3日后复诊,随诊 3日后第二次就诊: 主诉:患牙无明显异常。 检查:35#髓腔内清洁,叩诊叩痛(+/-) 处置:35#超声+0.7%次氯酸钠冲洗,棉捻干燥,纳米羟基磷灰石+碘仿+甲硝唑糊剂根管消毒,棉球,GIC暂封。 医嘱:17日后复诊,随诊。 17日后第三次复诊: 主诉:患牙无明显异常 检查:35#暂封在,叩诊叩痛(-)。 处置:35#去暂封,取棉球,0.7%次氯酸钠冲洗,棉捻干燥,塑化+牙胶尖冷测压根管充填,GIC充填,调整咬合,凡士林隔湿。 医嘱:明日使用患侧进食,口腔卫生宣教,半年后复查,随诊同前。
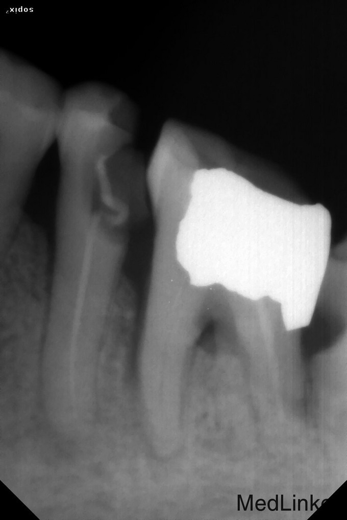
一年后复查:患牙正常使用,无明显异常。检查:充填物在,叩诊叩痛(-),X线片示:根尖周骨小梁致密。 讨论: 1、现代根管治疗学认为根管开放引流是根管治疗后疾病的一大病因,我个人也主张:不做没必要的开放。但是,不等于严禁根管开放。 2、本世纪初以前有学者认为,开放减轻了疼痛是因为通过氧气消灭根管内的“厌氧菌”,我个人认为:开放是为了脓腔引流。 3、开放的一个不可忽视的问题是,口腔内细菌的逆向根管内定植,同时根尖孔(相对于引流通路)过于狭小经常被脓栓阻塞,以及下牙没有重力引流的可能。口腔含漱液的使用可以暂时减少口腔内的细菌,以及局部吮吸,可以有效减小开放的副作用——局部吮吸,灵感来自于“负压引流”。 4、开放引流的时间根据病人以及患牙的具体情况而定,经验(血淋淋的教训)是随年龄增大而增多,最多多少天?还是应该以患者、患牙的状态为主要标准点,毕竟,开放是为了引流。我目前通常参考的时间控制是:年轻人1天,老人2天,此病例3天又是因为屈从于患者的就诊时间。故此复诊时加大了冲洗的程度。 5、此病例约诊间疼痛的病因首先考虑氢氧化钙的封药时机。氢氧化钙毕竟也有刺激性,激惹了根尖周组织。 6、氢氧化钙在根尖周炎中的作用有抗菌和诱导活化成骨细胞,而纳米羟基磷灰石可以直接提供成骨原料,碘仿及甲硝唑可以抗菌。 7、将塑化当作根管糊剂使用,并冷测压,目前一年后复查的病例较少,样本小,有待于进一步研究。
