下载或打开 医联APP 查看完整评论
立即下载
打开APP
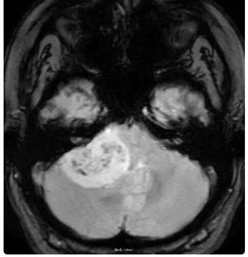
女性患者,34 岁,主因头痛、右耳听力损害以及平衡障碍 3 个月入院。
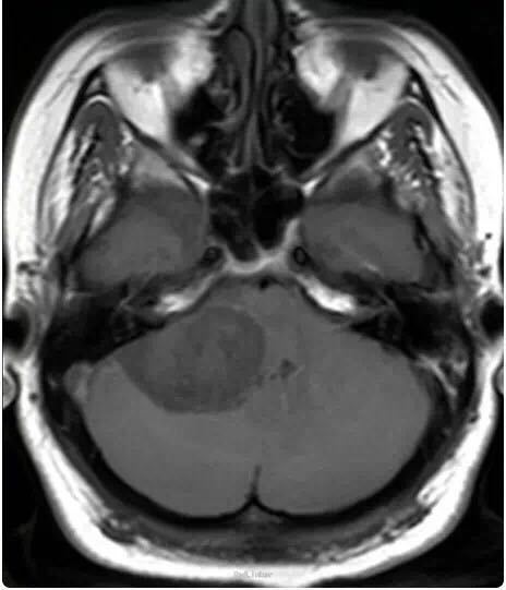
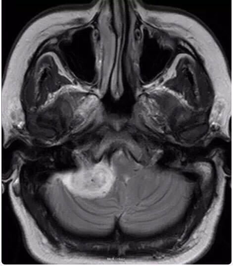
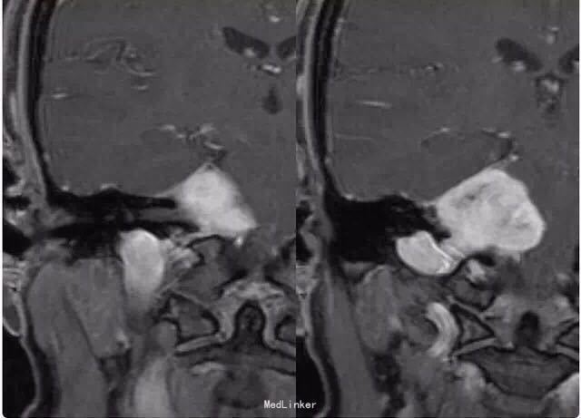
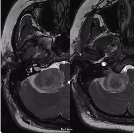
行头颅影像学检查、轴位 T1 像、轴位增强后 T1 像、冠状位增强后 T1 像以及轴位 T2 像:显示在右侧桥脑小脑角部位有一边界清楚病灶,T1 为低信号,T2 为高信号,并且伴有强化;病灶扩展至右侧颈静脉孔区,导致颈静脉孔增宽,脑干、第四脑室和小脑变形。右侧内耳道正常,病灶无颅外扩展。轴位 T2 加权 GRE 成像显示多发性病灶内出血:





诊断为颈静脉孔区神经鞘瘤。 手术切除辅助以立体定向放疗。

鉴别诊断: 1. 脑膜瘤:脑膜尾征,骨肥大,钙化,均匀 T1 和 T2 等信号,均匀强化等表现支持诊断为脑膜瘤而不是神经鞘瘤 2. 起源于其他颅神经的神经鞘瘤:诊断取决于颅内哪一个神经孔或神经管增宽 3. 颈静脉球或颈静脉鼓室起源肿瘤:出现骨质破坏,营养静脉和引流静脉扩张,病灶血供丰富 4. 转移性颅骨病灶:骨质破坏,较小体积病灶时就会出现症状,临床病史对于诊断很关键