下载或打开 医联APP 查看完整评论
立即下载
打开APP
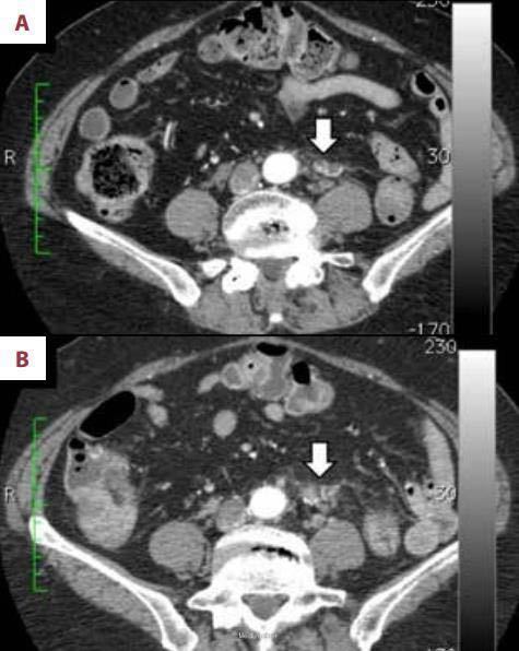
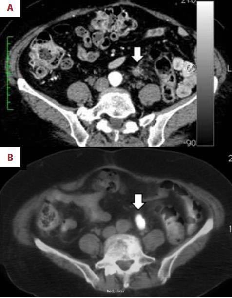
患者男性,69岁,5年前因大便带血于我院就诊,无其它不适主诉,结肠镜检查发现结肠肿瘤并肠腔狭窄,结肠镜无法通过。活检病理为高分化腺癌。CT检查示无浆膜侵袭和远处转移,临床分期为II期。行结肠癌根治术,周围淋巴结清扫。术后病理:癌灶已经侵蚀浆膜层,周围淋巴结未见转移征象,切缘阴性。术后患者每3个月来医院进行血生化复查,每6个月行腹部CT检查。 术后一年半后CT检查结果显示腹主动脉分叉处左侧见一边界模糊,非肿瘤性病灶,血供丰富(见下图1A)。考虑为术后结缔组织的炎症反应。随后几次复查发现该病灶的形态逐渐改变。术后三年CT检查结果显示病灶体积增大,但放射科医生依旧认为是良性病变(见下图1B)。最近来复查,上述病灶在CT上呈实性肿瘤样改变(见下图2A),怀疑为结肠癌术后局限性复发。但癌胚抗原和CA199都在正常范围内。为了明确诊断,患者去外院行FDG-PET/CT检查。检查结果如下图(2B),上述病灶呈明显高FDG摄取,除上述病灶外未发现其他存在病灶。
查体:腹部陈旧性手术疤痕,愈合可,余无阳性体征。辅查如病史所述。



初步诊断为局限性结肠癌复发。随后患者行手术切除,病变位于左侧输尿管与腹主动脉及分支之间。术后标本肉眼观可见肿块由结缔组织组成,包括白色和坚韧的疤痕(下图3A)。组织病理结果显示为良性脂肪组织,包括纤维血管成分(下图 3B)。
很多的研究显示FDG-PET/CT在诊断结肠癌中具有较高的准确度。那么它真的是万能的么,你怎么看?