打开应用

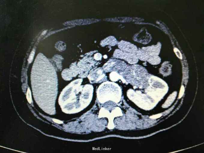
左肾门占位:癌栓?血栓?

何医师   成都市第三人民医院
脂肪瘤 脂肪瘤 髓样脂肪瘤

主诉 病史

女性,47岁,因“左腰1月,加重4天”,无血尿。无高血压,糖尿病等。

查体 辅查

左肾区扣痛阳性。CT及MRI见图。

诊断 处理

左肾静脉及腔静脉癌栓?血栓?;右肾上腺占位:髓样脂肪瘤?

随访 讨论

诊断? 下一步治疗方案?

发布于 15-11-05 10:58

13 个评论

发送