下载或打开 医联APP 查看完整评论
立即下载
打开APP
主诉:上腹部疼痛一天 昨日夜间无明显诱因出现恶心呕吐,呕吐物为胃内容物,呕吐后出现上腹部疼痛,无腹泻,伴有寒战,发热。胸痛不明显。一天来疼痛加剧。院外未特殊治疗。既往高血压病史,胆囊炎病史。
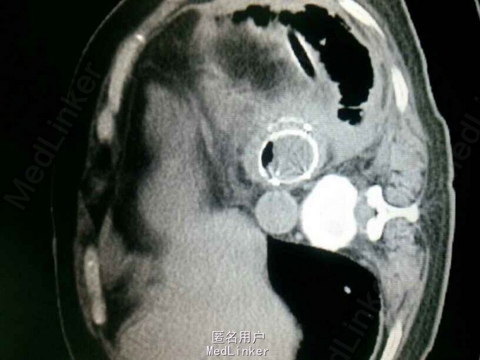
查体:气管居中,左肺呼吸音弱,右肺呼吸音尚可。未闻及湿啰音。胸腔引流管可见褐色浑浊液体引出。 腹部CT肝脾胰未见异常,胆总管扩张。 食管造影:食管下端撕裂,食管胸膜瘘。 胸CT左肺气胸,左侧胸腔内高密度影,考虑造影剂漏入胸腔。左肺实变,右侧少量胸腔积液。








诊断:自发性食管破裂。 治疗:急诊行胸腔闭式引流。后行左剖胸食管破裂修补。术中见胸腔污染严重,见菜叶,消化液等。后纵膈可见较多脓性分泌物,食物残渣,坏死组织。食管裂口处上方可见5cm纵向肌层及粘膜层撕裂口,相应位置处可见纵膈胸膜撕裂口。术后予肠内肠外营养,舒普深,泰能,稳可信,抗感染,术后反复行2次食管造影,仍存在食管破裂口,术后一月行胃镜及食管支架植入术。第二天行进食流质及半流质通畅,平稳出院。





支架植入后3月行支架取出。随访患者恢复尚可。 讨论:食管自发破裂是急症之一,需抓紧时间诊断及治疗。有学者认为24小时后应行保守治疗。也有学者认为只要不是感染中毒症状很明显就应手术。手术后的抗感染,引流,营养问题也很关键。对于感染较重的病例,单纯修补效果差,如裂口不大可以在术后一月行支架植入治疗,效果明显。