下载或打开 医联APP 查看完整评论
立即下载
打开APP
主诉:高处坠落致腰痛、活动不能1天。 现病史:患者诉于1天前不慎自3米高阳台坠落,当即感腰痛,活动不能,伴双下肢麻木。无伴昏迷、头晕等不适。遂到我院就诊,行x光检查示腰2椎体爆裂骨折,收入院。

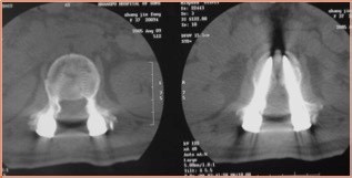
查体:卧床状态,腰部活动不能,行走不能,腰2棘突上叩痛,压痛(+)。双下肢大腿中段以下皮肤感觉减退、肌力正常,膝反射及膝踝反射正常,双侧Babinski征(-)。 辅助检查:CT检查示腰2椎体爆裂性骨折。椎管内占位改变。

诊断:腰2椎体爆裂性骨折(AO分型:A3.1) 治疗:给予急诊行腰1-腰2椎弓根钉固定+骨折复位术。术中行椎板切除减压,用骨冲将突入椎管的骨块复位。


术后1年拆除内固定,复查骨折无明显高度丢失。
