1.女,67岁 2.双眼睑下垂3年余,加重1周。 3.患者3年前无明显诱因下出现双眼睑下垂,已右侧为甚,视近物时偶有复视,活动后稍加重,休息后缓解,无偏瘫偏麻,未引起重视,1周前上诉症状稍加重,至温州医院就诊,考虑“重症肌无力”,住院不便,遂来我院住院治疗。 4.既往有血压偏高,未口服药物。有活动后胸闷气促病史,至我院门诊就诊,考虑心功能不全,未规则服药
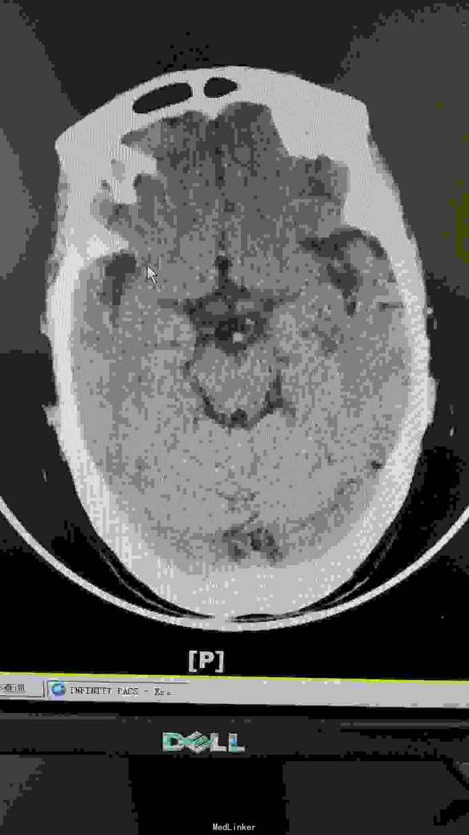
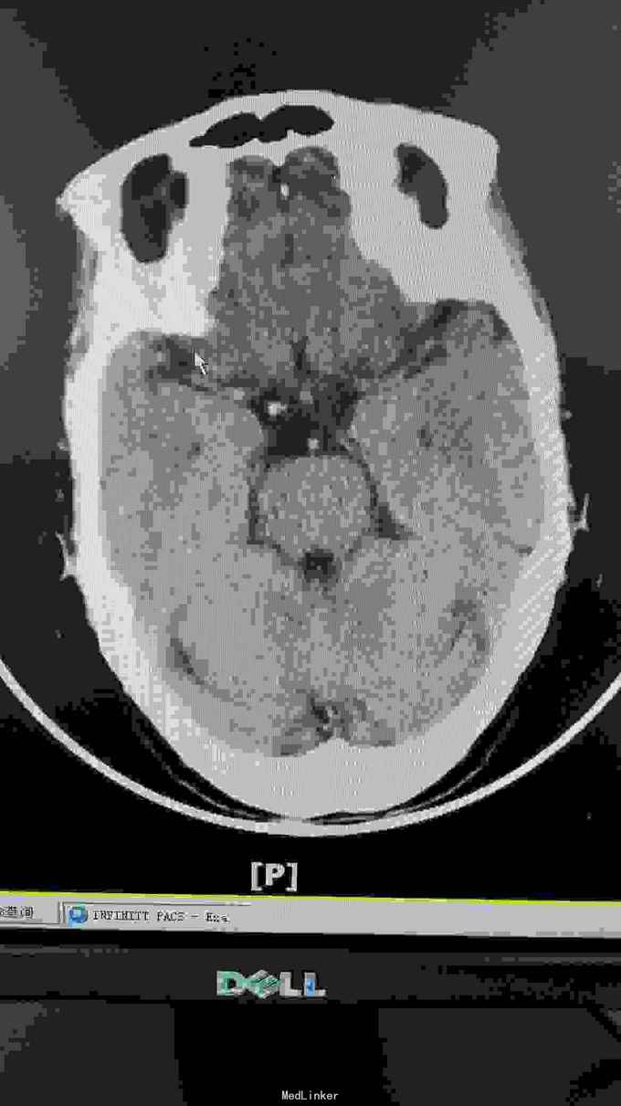
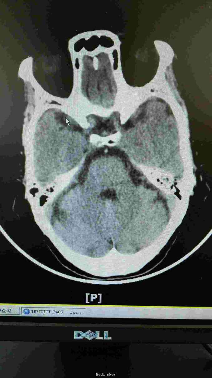
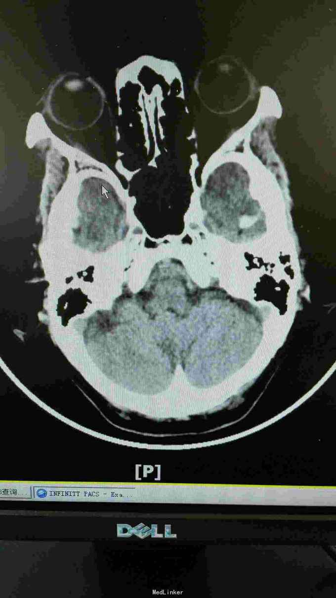
生命体征:耳温:36.8℃ 脉搏:96次/分 呼吸:20次/分 血压:140/67mmHg。pain score: 0/10 发育无异常,口唇无发绀,双肺呼吸音清,未闻及干湿性啰音;心率96次/分,律齐,未闻及明显病理性杂音;腹软,无压痛、反跳痛,肝脾肋下未及,双肾区无叩痛,双下肢无浮肿。神经专科:神清,构音尚清,双侧额纹对称,双眼睑下垂,右侧明显,双侧瞳孔等大等圆,直径约3.0mm,对光++,双眼活动尚可,伸舌居中,鼻唇沟无浅,颈软,四肢肌力5级,双侧肢体肌张力对称,双侧巴氏征未引出,双侧指鼻准,闭目难立征阴性。 血常规三系尚正常。出凝血系列,甲状腺功能 ;存在TSH偏高。肿瘤标志物基本正常范围。糖化血红蛋白正常范围;空腹血糖、血钾正常范围。大小便常规未见明显异常。 胸部CT提示右肺中叶及左肺上叶舌段纤维、增殖灶,请结合临床。颈动脉B超提示左侧颈动脉斑块形成,存在左侧颈动脉硬化。椎动脉B超提示双侧椎动脉未见明显异常。心超提示左室舒张功能下降。腹部B超提示肝、胆、胰、脾未见异常,双肾、输尿管、膀胱未见异常。甲状腺B超提示右侧甲状腺结节。肌电图提示重频试验阴性。心电图提示窦性心律,大致正常心电图。 这个病人因为做过钢板内固定术,所以磁共振没做!可惜了






诊断:双眼睑下垂待查:重症肌无力?动眼神经麻痹待排。2.高血压病?3.心功能不全? 目前治疗上予立普妥20mg调脂稳定斑块,待肌电图检查回报后余新斯的明口服,以及活血化瘀、改善循环等对症支持治疗.
这患者优先考虑重症肌无力,但是以单侧为主,所以动眼神经麻痹也需要排除,因为患者在上级医院做过“新斯的明试验”症状稍改善,持续数小时后又加重,所以等药效过了之后给她做了肌电图,重频试验阴性。1-5波幅下降不明显,结合头颅CT结果,诊断重症肌无力,予新斯的明口服后症状是有改善, 我想请教各位,单单从症状和新斯的明试验可以诊断重症肌无力吗?因为这个病人的肌电图表现是阴性的胸部CT也没看到有胸腺增生。