患者男,67岁,因“间断发热1+月,咳嗽1+月”入院。患者1+月前于墨西哥山洞被蚊虫叮咬后出现畏寒、恶心、呕吐,3天后出现发热,最高体温38℃。
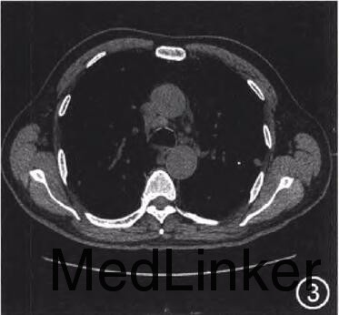
查体:未查见特殊 辅查:单核细胞百分比0.15(参考值0.03~0.13),c反应蛋白13.9mg/L(参考值<7.9mg/L),甲胎蛋白、癌胚抗原、CAl25、CAl99、CA153阴性,真菌-D-葡聚糖:97ng/L(参考值<80ng/L),曲霉菌半乳甘露聚糖0.19(参考值<0.50),自身抗体谱:抗内皮细胞抗体(+),抗核抗体、抗ENA抗体、抗线粒体抗体阴性。胸片示(图1):双肺野弥漫多发团片状、结节状高密度影,边界不清,双下肺为著。胸部CT提示(图2,3):双肺野弥漫多发团片状、结节状及索条状高密度影,大部分边界不清,以双下肺为著,部分结节内可见小空泡;纵隔多发大小不等淋巴结影,较大者约2.3cm×l.3cm。行肺内结节穿刺活检,病理检查:镜下见肺组织纤维化,淋巴、浆细胞浸润,可见多核巨细胞及坏死,符合肉芽肿性炎症性病变(图4)。免疫组织化学染色结果:PAS染色(-),抗酸染色(-)。活检组织块真菌培养阳性,六胺银染色检见孢子,病理见大量化生的纤毛柱状上皮细胞、大量炎细胞及坏死碎屑,未见恶性肿瘤细胞。




根据病理诊断为肺组织胞浆病。给予两性霉素B治疗。
讨论:肺组织胞浆病由荚膜组织胞浆菌引起的全身多脏器受累的系统性真菌感染,主要流行于非洲、亚洲和美国的北部、中部地区。该病常经呼吸道传染,首先侵犯肺部引起急慢性肺部损害,症状主要取决于感染的程度和患者的免疫状态,严重者可引起进行性全身播散。根据临床特点组织胞浆菌病主要分为急性肺组织胞浆菌病、慢性肺组织胞浆菌病和进行性播散型组织胞浆菌病等临床类型,其中以急性原发性组织胞浆菌病最常见。临床表现无特异性,主要症状有:咳嗽、咳痰、胸痛、气促、气喘、发热。直接镜检或培养到病原菌是诊断的金标准。但真菌培养要三周以上,限制了临床应用。可选择培养、血清学试验(补体结合试验及免疫扩散试验)、植物血凝素(PHA)抗原检测、病理、影像学等,根据结果进行综合判断。美国传染病学会对该病的临床治疗指南认为已经证明对组织胞浆菌病有效并可作为治疗该病的首选药物包括两性霉素B及其脂质体,两性霉素B脂质复合体和伊曲康唑。指南认为两性霉素B用于有严重肺组织胞浆菌病或播散性组织胞浆菌病患者的治疗,而伊曲康唑可作为轻度和中度组织胞浆菌病患者的首选口服用药,也可作为剂量递减疗法。引自doi:10.3760/cma.j.issn.1005-1201.2014.09.020]