下载或打开 医联APP 查看完整评论
立即下载
打开APP
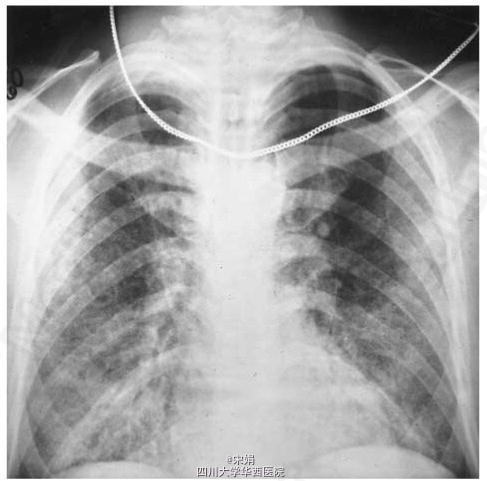
41岁男性,HIV携带者,发热、咳嗽、进行性加重呼吸困难4月就诊。胸片可见弥漫性、双侧胸部网状结节影。

血涂片(入院时)发现分叶核中性粒细胞有胞内病原体。这些酵母样病原体有清晰的晕环,即可能存在包膜,形态符合组织胞浆菌。

支气管肺泡灌洗最后确诊,发现小的、出芽酵母样组织胞浆菌。 病人予以插管、两性霉素B治疗,插管及治疗后第六天患者体温回复正常,胸片可见肺野清晰。三天后葡萄球菌败血症进展,患者死于急性脑血管事件。

肺部组织胞浆菌病是由于吸入带菌的尘埃引起的急性感染。95%的病例无症状,愈后只留下钙化点。少数可有轻度症状,如干咳、胸痛,呼吸困难,声音嘶哑,中度感染有发热,盗汗,体重减轻,稍有发绀,偶有咯血。本病的诊断主要靠从痰液,周围血液,骨髓以及淋巴结穿刺、活检等标本中找到细胞内酵母型组织胞浆菌,再结合临床症状和培养结果。DOI: 10.1056/NEJM199603143341105