患者,男,53岁。主因“颜面部、颈部皮疹1年余,双下肢肌痛9月余”入院。 2014年初开始出现左眼睑紫红色水肿斑,无瘙痒、脱屑,无疼痛,就诊于眼科医院,诊断为“泪腺炎”,未治疗。后再次就诊于其他医院,诊断为“泪腺炎”,给予球后注射“曲安奈德 1次/月”,皮疹稍减轻。自行停药,左眼紫红色水肿斑加重,同时右眼出现紫红色水肿斑,于外院诊断为“血管炎性水肿”,给予口服“醋酸泼尼松 40mg/日”,症状减轻,醋酸泼尼松逐渐减量至20mg/日后自行停药,症状反复发作。2014年6月出现颜面部红色皮疹,不凸出于皮面,无瘙痒、脱屑,日光照射后加重,未重视。2014年10月颜面部红色皮疹加重,扩散至颈部、前胸上部,不凸出于皮面,伴瘙痒、脱屑,无破溃、疼痛,就诊后口服“醋酸泼尼松 10mg/日”,皮疹部分消退,瘙痒消失。2014年11月无诱因出现双下肢近端肌痛、肌无力,下蹲、起立困难,午后疼痛明显,无饮水呛咳、吞咽困难,就诊于当地卫生所给予静注“维生素C、三磷酸腺苷”,疼痛减轻,停药后症状反复。于2015年4月28日入住我院,诊断为“皮肌炎”,予以“地塞米松注射液”静注,口服“强的松片 60mg/日、羟氯喹片 200mg 2次/日”维持治疗,症状好转出院。出院后规律用药,同时予以输注“环磷酰胺 200mg 每三周1次”,遵嘱将“强的松片”递减药量,于2015年8月25日减至30mg/日维持治疗,病情平稳。9月1日自行将激素减为20mg/日口服,出现双下肢近端肌轻度疼痛,为求进一步诊治收入我科。病程中有发热,有光过敏,无关节痛,无腰背痛、足跟痛,无口干、眼干,无牙齿块状脱落,无反复口腔溃疡,无双手遇冷变白变紫。此次发病以来,精神、食欲、睡眠可,大小便正常,体重无明显变化。 既往史:1995年于当地卫生所诊断为“腮腺炎”,已治愈。 其余个人史无特殊。
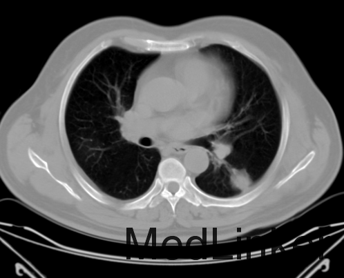
查体: 体温:36.3℃ 脉搏:78次/分 呼吸:20次/分 血压:130/82mmHg。双眼睑紫红色水肿斑,颜面部、颈部、前胸上部弥漫性红色皮疹,不凸出于皮面,伴瘙痒、无破溃、压痛,全身浅表淋巴结未触及肿大。唇红,咽无充血,扁桃体不大。气管居中,甲状腺未触及肿大。双肺呼吸音粗,双肺底可闻及少许啰音,心率78次/分,律齐,各瓣膜听诊区未闻及病理性杂音,腹软,全腹无压痛、反跳痛,肝、脾肋下未触及。脊柱呈正常生理弯曲,活动度好,无压痛,四肢无畸形,双侧“4”字试验阴性,肌力及肌张力正常,关节无红肿,运动正常,双下肢无水肿。生理反射存在,病理反射未引出。 辅助检查 免疫功能:总T淋巴细胞476个/ul,总B淋巴细胞55个/ul,Th细胞392个/ul,Ts细胞69个/ul,Th/Ts5.66 ,NK细胞36个/ul,T淋巴细胞+B淋巴细胞+NK细胞589个/ul。 骶髂CT示:双侧骶髂关节退行性变。 骨密度示:(左前臂)骨质疏松,(腰椎+左髋)骨量正常。 肌电图:肌源性损害,不排除多发性周围神经损害。 血常规:白细胞数 7.21 ×10^9/L,红细胞数 4.22 ×10^12/L,血红蛋白浓度 129.0 g/L,血小板数 180.00 ×10^9/L,淋巴细胞绝对值 1.02 ×10^9/L。 血沉 24.00 mm/h。 术前免疫:乙肝表面抗体 阳性(+) >1000 IU/L,乙肝e抗体 阳性(+) 0.045 COI,核心抗体 阳性(+) 0.007 COI,乙型肝炎病毒DNA <1.0*10^2 IU/mL,余(-)。 生化系列:低密度脂蛋白 2.46 mmol/L,高密度脂蛋白 1.01 mmol/L,甘油三酯 1.79 mmol/L,总胆固醇 3.95 mmol/L;羟丁酸脱氢酶 234.00 U/L,乳酸脱氢酶 301.00 U/L,肌酸激酶同工酶MB 9.50 U/L,肌酸激酶 18.00 U/L;白蛋白 33.50 g/L。 心肺四项大致正常。降钙素原 0.09 ng/ml。 特种蛋白:免疫球蛋白G 9.87 g/L,免疫球蛋白A 1.87 g/L,免疫球蛋白M 2.77 g/L,补体C3 0.74 g/L,补体C4 0.15 g/L,C-反应蛋白 3.34 mg/L。 免疫功能:总T淋巴细胞 993 个/ul,总B淋巴细胞 195 个/ul,Th细胞 676 个/ul,Ts细胞 291 个/ul,Th/Ts 2.32,NK细胞 42 个/ul,T淋巴细胞+B淋巴细胞+NK细胞 1270 个/ul。T-SPOT(-)。 胸部正位片可见纹理增粗。 胸部CT示:右肺上叶、双肺下叶炎症,左肺下叶结节,双侧胸膜增厚。

诊断:皮肌炎,恶性疾病不除外,骨质疏松症,左肺结节,肺部感染 经塞米松注射液5mg×4天、醋酸泼尼松片 20mg 1次/日、羟氯喹片 200mg 2次/日、他克莫司胶囊 1mg/日口服维持治疗、维D钙咀嚼片 600mg 2次/日、骨化三醇胶囊 0.25ug 1次/日,注射用环磷酰胺200mg控制病情,并抗感染、补钾、保护胃黏膜对症治疗。 1周后复查血常规:白细胞数 9.78 ×10^9/L,血红蛋白浓度 136.0 g/L,血小板数 209.00 ×10^9/L,淋巴细胞绝对值 1.25 ×10^9/L。 血沉 1.00 mm/h。降钙素原 0.09 ng/ml。
多种结缔组织病可有皮疹、肌痛等表现,需鉴别诊断: (1)系统性红斑狼疮:是一种累及多系统、多器官并有多种自身抗体出现的自身免疫性疾病,遗传、感染、环境、性激素、药物等综合因素所致的免疫紊乱均可导致该病的发生。本病多见于15-45岁年龄段,育龄期女性多见,儿童和老人也可发病。多数呈隐匿起病,临床变化多端,开始仅累及1~2个系统,表现轻度的关节炎、皮疹、隐匿性肾炎、血小板减少性紫癜等,部分患者长期稳定在亚临床状态或轻型狼疮,部分患者可由轻型突然变为重症狼疮,更多的则由轻型逐渐出现多系统损害,也有一些患者起病时就累及多个系统,甚至表现为狼疮危象。该患者为中年男性,于皮疹起病,病程中有发热、肌肉疼痛, (2)神经源性肌病:表现为全身弥漫性肌无力,运动后加重,眼睑下垂,肌酶一般正常,肌活检无炎症性肌病特点,肌电图示神经源性损害,该病人有皮疹、肌痛,无肌无力,暂不考虑此病。 此外,皮肌炎极易合并肿瘤,需排除恶性疾病引起。 皮肌炎严重时可累及肺间质、心脏间质等组织脏器,病程中需要重视。