下载或打开 医联APP 查看完整评论
立即下载
打开APP
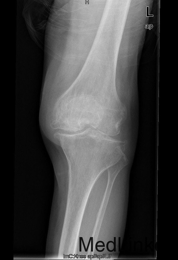
主诉:左膝疼痛7年,加重伴行走困难2年 现病史:7年前患者开始出现左膝关节疼痛,负重行走、下楼时疼痛可加重,休息后可缓解。经服止痛药、外用膏药等处理后疼痛缓解。但症状反复发作。2年前疼痛加重且行走困难,平路行走仅能坚持约20余米,上下楼梯艰难,下蹲不能。入院前3月跌伤左膝部在我院断为“左髌骨骨折”住院保守治疗好转出院。现患者膝关节疼痛明显,生活受限,为行进一步治入院。
查体:跛行步态,左侧股内侧肌萎缩,左膝内侧关节间隙压痛,左膝髌股关节间隙压痛。左膝伸-45°,屈90°,左膝屈伸活动时髌骨下摩擦感 (+)。 辅助检查:左髌股关节内侧间室变窄,关节边缘骨赘增生,软骨下骨硬化







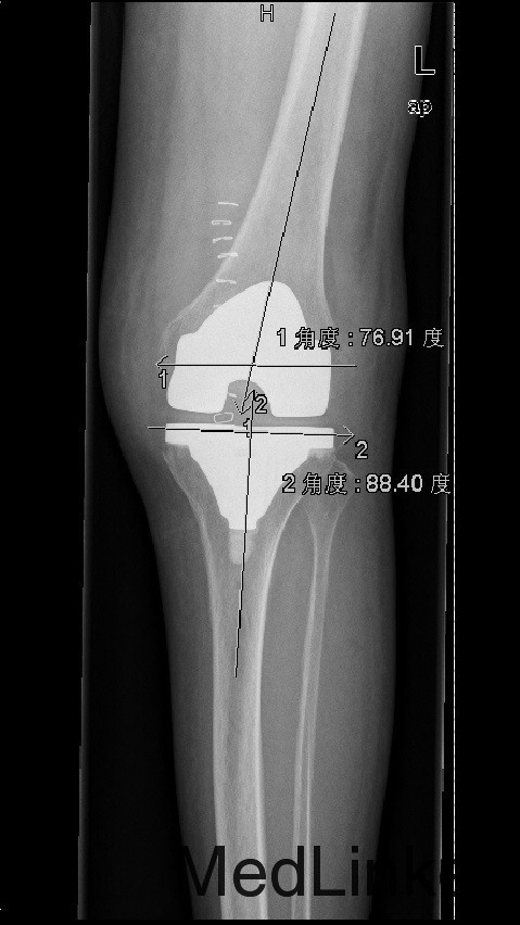
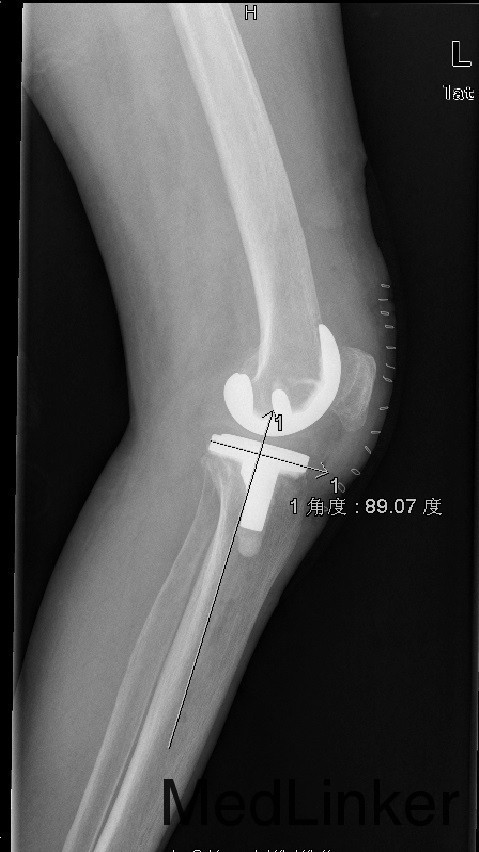
诊断:1、左膝骨关节炎伴屈曲畸形 2、左髌骨骨折骨愈合 治疗:积极行术前准备后于全麻下行左侧全膝关节置换术+软组织松解术,术后常规治疗。
患者术后功能良好,症状缓解,生活治疗提高 1、股骨外翻截骨如何在X线片上定角度?