下载或打开 医联APP 查看完整评论
立即下载
打开APP
患者女,74岁,因“双膝疼痛20年,加重伴行走困难8年”入院。患者诉20年前开始出现双膝关节疼痛,负重行走、下楼时疼痛加重,休息后可缓解,尚可下蹲。自行购买止痛药口服,关节腔内注射玻璃酸钠、理疗等处理,疼痛时有缓解。但症状反复发作。8年前疼痛加重且行走困难,扶拐行走仅能坚持约10余米,上下楼梯艰难,下蹲不能,以左侧为重。遂来院就诊。



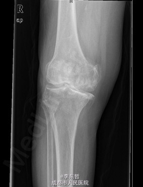
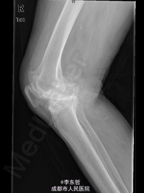
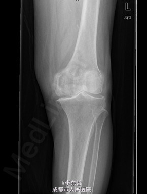
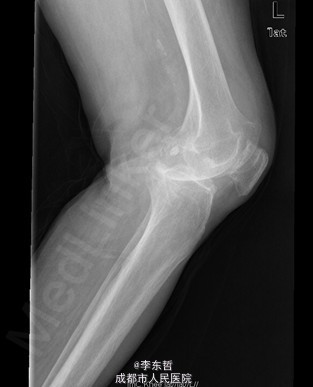
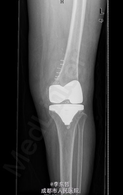
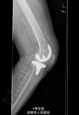
查体:跛行步态,双膝关节屈曲内翻畸形,双膝内侧间隙压痛,双膝髌股关节间隙压痛,左膝伸-20°,屈110°内翻10°。右膝伸-20°,屈110°内翻10°,双膝屈伸活动时髌骨下摩擦感(+)。 辅助检查:X片示双侧髌股关节内侧间室变窄,关节边缘骨赘增生,软骨下骨硬化。


入院诊断:1、左膝骨关节炎伴屈曲内翻畸形; 2、右膝骨关节炎伴屈曲内翻畸形; 诊疗计划:1、向患者及家属交待病情及注意事项。2、向上级医生汇报患者病情。3、完善相关术前检查;4、择期手术。


随访无特殊
