主诉:双膝痛16年,加重伴跛行7年、 现病史:老年女性;患者于16年前无明显诱因出现双膝疼痛,服用药物后疼痛稍缓解,随后疼痛进行性加重,近7年疼痛明显加重,并逐渐出现跛行,及右膝屈曲内翻畸形,左膝屈曲外翻畸形,现患者限室内活动,疼痛明显,上下楼、穿脱鞋袜等日常生活明显受限,为行进一步治疗入我院。 既往史:38+年前因头晕、头痛发现血压升高,最高180/100mmHg,目前口服安博诺(厄贝沙坦氢氯噻嗪片150mg/12.5mg 1片 qd)和压氏达(苯磺酸氨氯地平片5mg qd),自行监测血压稳定于150/90mmHg左右.自述在10岁时发现心律不齐,发作时感觉心前区有异常跳动,持续约20秒后可缓解,到20+岁时出现心悸、胸闷(偶发 伴有夜间惊醒),均未给予特殊治疗,休息可缓解,直至2年前,患者在中医学院治疗,给予万爽力(20mg tid)治疗,自述有缓解,目前尚有心前区异常搏动,休息20-30秒后可缓解;2年前发现心率加快(休息时:90次/分,活动时100次/分以上),伴有胸闷,在四川省人民医院治疗,服用康忻(5mg qd)后心率降为:70次/分。1980年行双侧输卵管结扎手术。
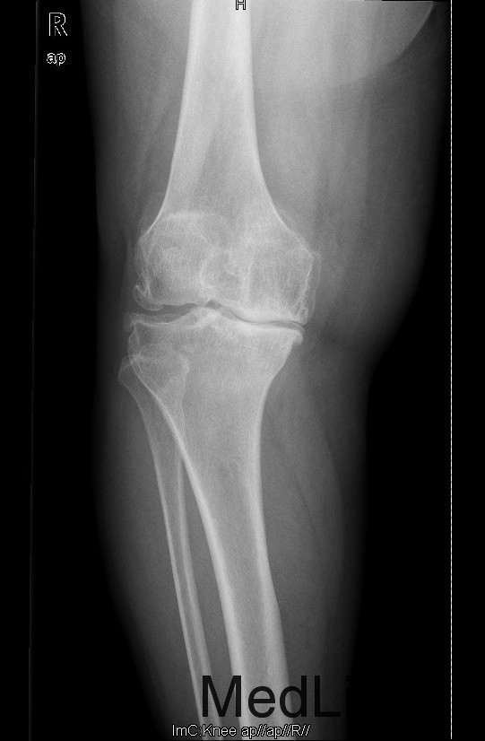
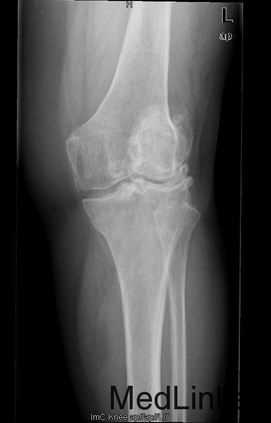
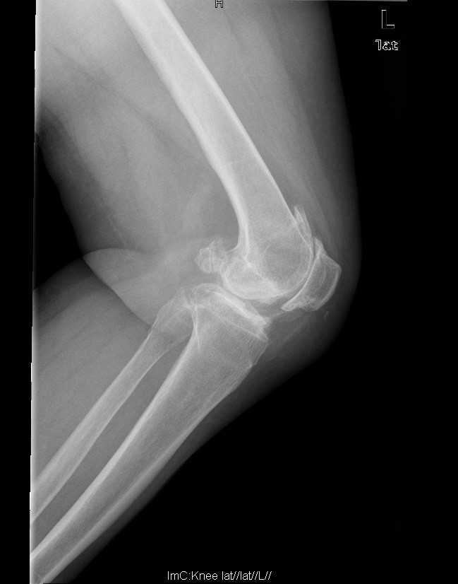
查体:步态跛行,双膝屈曲畸形,左膝外翻、右膝内翻畸形,双膝内外侧关节间隙及髌股关节间隙压痛明显,右侧重,右膝内翻:5°,右膝屈70°,伸-10°;左膝:屈曲:100°,伸:-5°,外翻:20°,双膝主被动屈伸活动时疼痛,双膝髌下摩擦音(+)。 辅助检查:右膝关节间隙狭窄,软骨下骨硬化,髌股关节间隙消失,左膝关节间隙狭窄,软骨下骨硬化,髌股关节间隙狭窄,双膝髌骨、股骨、胫骨周围大量骨赘形成,关节腔内均可见游离体。






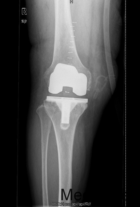
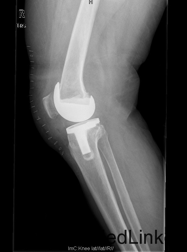
诊断:1.双膝重度骨关节炎继发右膝屈曲内翻畸形,左膝屈曲外翻畸形(Krackow Ⅰ型)2.高血压病(3级 极高危) 治疗:积极行术前准备,待血压等稳定后于全麻下行右侧全膝关节置换术,术后常规治疗,并鼓励其锻炼。
1、Krackow分型的依据是什么 2、一个膝关节内翻,一个膝关节外翻又称为什么 3、胫骨平台骨缺损分型 4、严重的内外翻畸形及胫骨平台缺损,行关节置换术应注意什么?