下载或打开 医联APP 查看完整评论
立即下载
打开APP
主诉:双膝疼痛20年,加重伴行走困难8年 现病史:20年前患者开始出现双膝关节疼痛,负重行走、下楼时疼痛加重,休息后可缓解,尚可下蹲。,自行购买口服止痛药,关节腔内注射玻璃酸钠、理疗等处理,疼痛时有缓解。但症状反复发作。8年前疼痛加重且行走困难,扶拐行走仅能坚持约10余米,上下楼梯艰难,下蹲不能,以左侧为重。现患者为行进一步治疗入院。
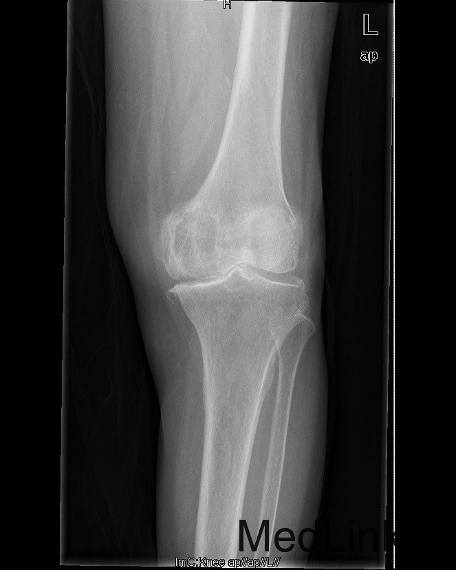
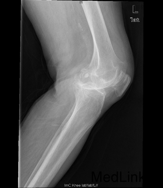
查体:查体:跛行步态,双膝关节屈曲内翻畸形,双膝内侧间隙压痛,双膝髌股关节间隙压痛,左膝伸-20°,屈110°内翻10°。右膝伸-20°,屈110°内翻10°,双膝屈伸活动时髌骨下摩擦感(+)。 辅助检查:双侧髌股关节内侧间室变窄,关节边缘骨赘增生,软骨下骨硬化。



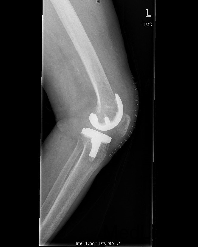
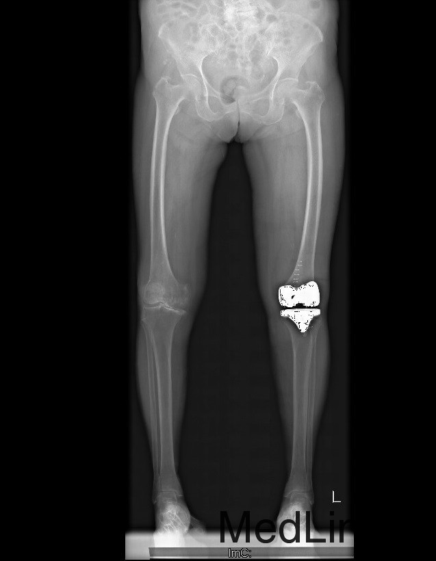
诊断:1、双膝骨关节炎伴屈曲内翻畸形 左侧重2、高血压病(2级高危、) 治疗:在全麻下行左侧全膝关节置换术+软组织松解术,术后予以抗炎+抗凝+镇痛+补液+护胃治疗,并指导其功能锻炼。



1、患者术后屈曲110°,伸0°,下地行走正常。 讨论 1、患者髌骨位置如何,术中有哪些方法避免术后低位髌骨 2、股骨曲度较大的患者,股骨截骨有何注意点