下载或打开 医联APP 查看完整评论
立即下载
打开APP
患者,男,41岁,因“脑外伤后意识障碍4月”入院。 现病史: 患者于3月前因高空坠落伤后,出现意识障碍,遂送当地医院,行双侧颅骨去骨瓣减压,血肿清除术,气管切开术;2+月前开始能睁眼,右上肢偶能执行一些简单指令动作,如握手;不能言语,四肢运动功能障碍,左侧为重。大小便障碍,为进一步促醒,康复治疗,遂转本院继续治疗。既往史:既往体健,无重大疾病病史。
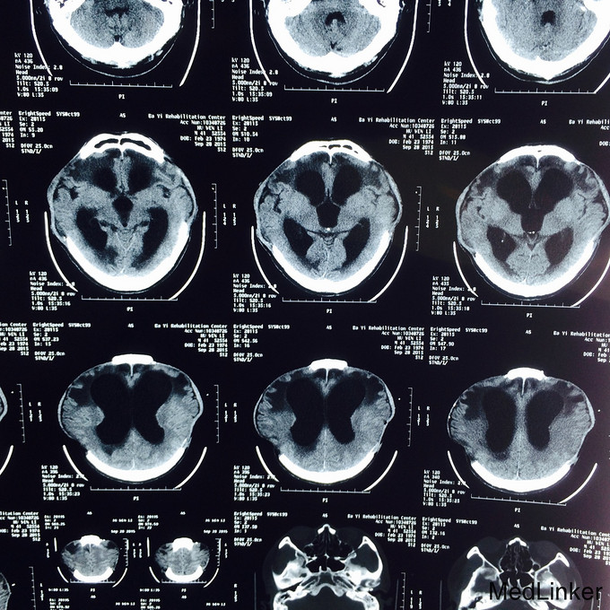
入院查体:气管切开,自带鼻饲管,生命体征稳定:脉搏 70次/分,血压121/71mmHg;Glasgow昏迷评分9分,最小意识状态;双侧颅骨缺如;四肢肌张力增高,肌力1-2级,左上肢肘关节活动受限。 辅查:血常规、肝肾功、凝血、电解质、血脂、血糖均正常;头颅MRI(2015.09.17)示:双侧额颞叶及右侧枕顶叶片状低密度影;交通性脑积水;双侧颞额顶骨部分缺如,相邻脑组织膨出,多系术后改变;头颅MRI(2015.09.28)示:与前面的片子比较,变化不大;


诊断:重型颅脑损伤 双侧额叶脑挫裂伤;双侧额颞顶部硬膜下血肿;脑疝形成;最小意识状态。 入院后治疗上积极给以神经营养、床旁康复治疗,高压氧治疗20天促醒;预防肺部感染;预防癫痫发作;
患者病情好转缓慢,2周前强直阵挛发作一次;影像资料提示颅内情况并未明显改善。请神经外科会诊后,建议作脑脊液侧脑室腹腔分流术。对于有脑积水的患者,不排除越早行脑脊液分流术,意识障碍恢复的时间就越短,效果就越好!另外,高压氧治疗方面,怎样发挥出最佳的治疗效果?