下载或打开 医联APP 查看完整评论
立即下载
打开APP
主诉:视物模糊2月、肢体不自主抖动1月 现病史:患者2月前渐起视物模糊,重影,站立不稳,无肢体无力及意识障碍,1月前出现左侧上肢不自主抖动,随后出现吐词不清并右上肢不自主抖动,病情进行性加重,至医院诊断为脑梗死,经治疗患者病情无好转病情加重,10天前家属发现患者反应迟钝,吞咽苦难,至医院行腰椎穿刺提示脑脊液常规及生化未见明显异常,颅脑MRI提示右侧大脑皮层异常信号,至我院就诊。 既往无特殊病史。
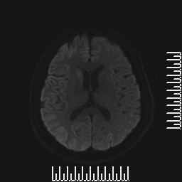
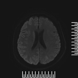
查体:问答及查体部分合作,反应迟钝,定向力定时力差,眼球运动检查,仅可向上及向右转动,四肢肌张力高,以右下肢为轻,可见左上肢不自主抖动,肌力检查、共济、感觉检查不配合。 辅助检查:颅脑DWI示右侧尾状核信号增高,双侧颞顶枕叶脑回样增高,脑电图提示背景节律无枕区优势,全导连续性双相或三相慢波发放,后头部为甚,睡眠周期性三相波少见,全导连续慢波活动,脑脊液常规、生化及培养未见明显异常,14-3-3蛋白阳性





诊断:亚急性海绵状脑病 治疗:入院后病情进展,予以美多芭、妙纳片、神经节苷脂等治疗未见好转。病情进一步加重,患者于2月去世。