主诉:头晕眼花3月,加重伴吐词不清、行走不稳20天 现病史:患者3月前无明显诱因出现头晕眼花、视物重影,曾于某医院诊断为更年期综合症,口服药物治疗后无缓解,随后出现情绪低落、睡眠障碍、反应迟钝,至贵州医院考虑为精神障碍,颅脑MRI:双侧额、顶叶少许缺血灶,予以抗精神等药物治疗(奥氮平、舒必利、度洛西汀),情绪低落、睡眠障碍渐好转,20天前无明显诱因出现吐词不清、表达困难、四肢僵硬,常常被迫体位,手指呈鸡爪样,行走不稳,至我院就诊,门诊以“头晕眼花、吐词不清、行走不稳原因待查”收入我科,起病以来,患者精神、睡眠差,大小便可,体力受限,体重无下降。 既往史:既往无特殊病史。
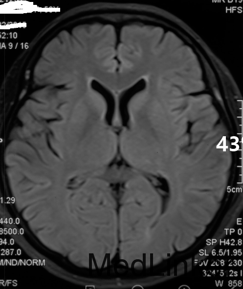
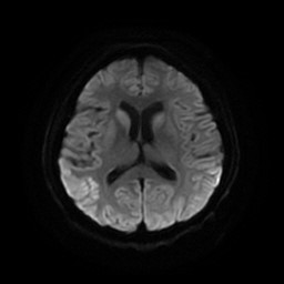
查体:生命体征平稳,神志清楚,反应迟钝,高级意识活动差,检查欠合作,眼球活动可,目光呆滞,有水平向左快向眼震,双侧瞳孔等大等圆,光反射可,双侧鼻唇沟对称,伸舌居中,喜坐位,头颈多偏斜,肩关节旋前,手指呈鸡爪样或屈曲握拳反转,双下肢屈曲,四肢肌力5级,肌张力高,腱反射正常,病理征未引出。共济检查不能配合。 辅助检查:3月25日我院颅脑DWI示双侧豆状核、尾状核稍高信号,双侧颞顶枕叶对称性片状脑回样高信号。3月30日脑电图示:1、重度异常脑电图;2、背景节律无枕区优势,全导为广泛慢波活动,睁眼节律抑制不全;3、发作期间未见明显异常波发放,5月12日脑电图示:1、重度异常脑电图;2、背景节律无枕区优势,全导为周期性双相波或三相波与弥漫性慢波活动交替出现,呈片断性连续发放,后头部为甚;脑脊液常规、生化、培养未见异常,14-3-3蛋白阴性。




诊断:亚急性海绵状脑病(CJD) 治疗并讨论:入院后患者病情进行性加重,精神障碍加重,躁动不安,出现肌阵挛,随后出现无动性缄默,间断全身大发作。予以营养神经(神经节苷脂)、抗癫痫(开蒲兰、地西泮)、抗精神症状(再普乐)等。患者转当地医院治疗。患者早期颅脑MRI未见明显异常,而随病情进一步加重出现特征性影像学及脑电图。