下载或打开 医联APP 查看完整评论
立即下载
打开APP
主诉:进行性记忆减退2年余,进行性加重1年 现病史:患者于2年前(2013年4月)出现近期记忆力进行性下降,遗忘家中钥匙、银行卡号,无肢体无力,至医院检查发现甲状腺肿块,予以左侧甲状腺手术切除后,出现精神异常,性格改变,至外院诊断为老年痴呆,经治疗无好转,病情进行性加重,1年前出现胡言乱语,不分地点大小便,不认识家人,10月前出现四肢僵硬,不言语,2月前渐起四肢不自主抖动,间断四肢抽搐发作,快速眨眼,牙关紧闭,遂至我院就诊。起病后,患者呈昏睡状,体重明显减轻。 既往:无特殊。
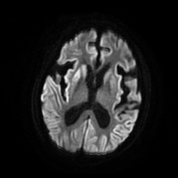
查体:神清,问之不答,四肢僵硬,左下肢屈曲,查体不能合作,双侧瞳孔等大等园,直径约3mm,光反射可,眼球运动、眼震等检查不合作,口角左偏,左侧鼻唇沟浅,肌张力高,肌力、共济、感觉检查均不能配合。辅助检查:颅脑DWI示:双侧尾状核头和豆状核信号增高,双侧大脑半球脑回皮质信号增高。视频脑电图:重度异常脑电图,背景节律无枕区优势,全导周期性双相波或三相波间断重复出现,意识模糊期间全导双相或三相波间断重复发放,脑脊液常规及生化、培养未见明显异常,脑脊液14-3-3蛋白送检未回。



诊断:亚急性海绵状脑病 治疗:入院后予以营养神经、妙那片后患者病情未见好转,患者目前已经出院。